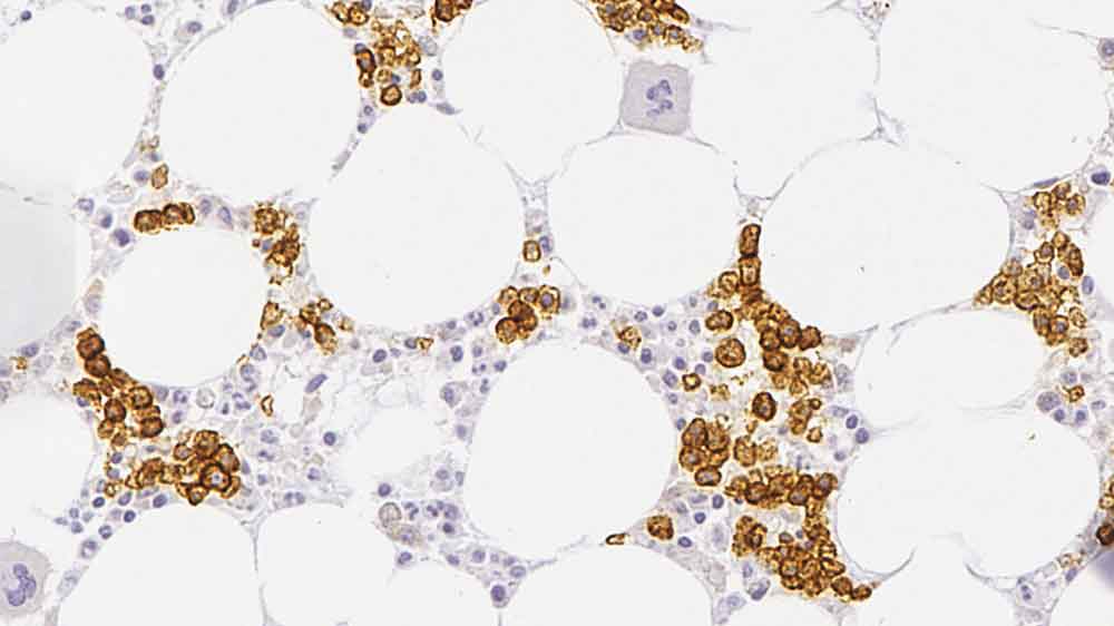
Human bone marrow: immunohistochemical staining for CD71. Note membrane staining of erythroid progenitor cells. CD71: clone 10F11

CD71

Das CD71-Molekül ist ein Membranglykoprotein vom Typ II mit einem Molekulargewicht von 180 kD. Es ist auch unter der Bezeichnung Transferrin-Rezeptor bekannt und besteht aus zwei Untereinheiten von 90 kD, die durch zwei Disulfidbrücken miteinander verbunden sind.

Das CD71-Molekül spielt eine wichtige Rolle bei der Zellproliferation, indem es über die Bindung und Endozytose von Transferrin, dem wichtigsten Eisentransportprotein, die Zufuhr von Eisen steuert, einer unerlässlichen Komponente zahlreicher Stoffwechsel-Signalwege.

Das Protein wird auf aktivierten B- und T-Zellen, Makrophagen, proliferierenden Zellen und stoffwechselaktiven Zellen (z. B. Neuronen) exprimiert.

Produkte

Produkte

CD71-309-L-CE
1ml NCL-L-CD71-309
Verfügbarkeit überprüfen
CD71-309-L-U
1ml NCL-L-CD71-309
Verfügbarkeit überprüfen

Downloads

Downloads

CD71-309-L-CE

CD71-309-L-U

Zuletzt angesehen