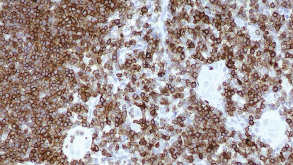
T cell lymphoma: immunohistochemical staining for CD7. Note the intense membrane staining of tumor cells. CD7: clone LP15

CD7

Hintergrund des Antigens

Das CD7-Molekül ist ein membrangebundenes Glykoprotein von 40 kD; es handelt sich um das früheste T-Zell-spezifische Antigen, das in Lymphozyten exprimiert wird. Es ist außerdem der einzige Frühmarker, der während der gesamten Differenzierung nachweisbar bleibt.

Funktion und Aufgabe von CD7 sind noch nicht ausreichend erforscht. Aufgrund der einer mAb-induzierten Aktivierung wurde die Aktivierung von T-Zellen mit gamma-/delta-Rezeptoren vorgeschlagen. Das CD7-Antigen soll auf der Mehrzahl der T-Zellen im peripheren Blut, den meisten natürlichen Killerzellen und Thymozyten nachweisbar sein. Klon LP15 wurde entwickelt, um auf Paraffinschnitten eine bessere Färbung als mit Klon CD7-272 zu erzielen.

Produkte

Produkte

CD7-580-L-CE
1ml NCL-L-CD7-580
Verfügbarkeit überprüfen
PA0266
7ml CD7 Bond RTU Primary
Verfügbarkeit überprüfen
CD7-580-L-U
1ml NCL-L-CD7-580
Verfügbarkeit überprüfen
PA0266-U
7ml CD7 Bond RTU Primary
Verfügbarkeit überprüfen

Downloads

Downloads

CD7-580-L-CE

PA0266

CD7-580-L-U

PA0266-U

Zuletzt angesehen