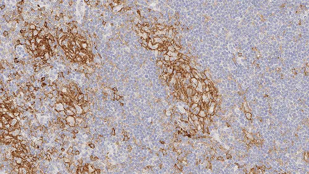
Human lymph node, anaplastic lymphoma: immunohistochemical staining for CD33. Note membrane staining of neoplastic cells. CD33: clone PWS44

CD33

Hintergrund des Antigens

Das CD33-Antigen soll nach der CD34-Antigenexpression auf myelomonozytären Vorläuferzellen erscheinen.

Anschließend wird es sowohl von Zellen myeloischen und monozytären Ursprungs exprimiert, fehlt aber auf Granulozyten.

Berichten zufolge beschränkt sich die Expression von CD33 auf Monozyten, Prämyelozyten, myeloische Blasten, bestimmte akute undifferenzierte Leukämien und akute lymphoblastische Leukämien.

Die Expression des CD33-Antigens gilt als wichtiger Marker für die Unterscheidung zwischen myeloischen und lymphatischen Leukämien.

Produkte

Produkte

PA0555-U
7ml CD33 Bond RTU Primary
Verfügbarkeit überprüfen
CD33-L
1ml NCL-L-CD33
Verfügbarkeit überprüfen
CD33-L-CE
1ml NCL-L-CD33
Verfügbarkeit überprüfen
PA0555
7ml CD33 Bond RTU Primary
Verfügbarkeit überprüfen
CD33-L-U
1ml NCL-L-CD33
Verfügbarkeit überprüfen

Downloads

Downloads

PA0555-U

CD33-L

CD33-L-CE

PA0555

CD33-L-U

Zuletzt angesehen