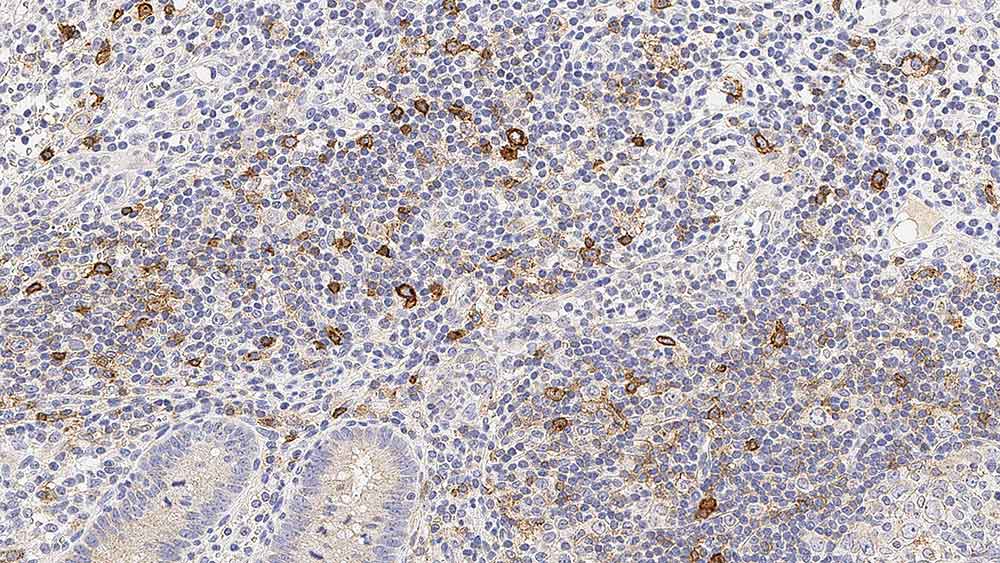
Human appendix: immunohistochemical staining for CD25. Note staining of activated lymphocytes. CD25: clone 4C9

CD25

Das CD25-Antigen, die Alpha-Untereinheit des Interleukin-2-Rezeptors, ist ein einkettiges Transmembran-Glykoprotein mit einem Molekulargewicht von 55 kD. Nach der Aktivierung von T-Zellen wird Interleukin-2 (IL-2) rasch synthetisiert und sezerniert.

Als Reaktion hierauf exprimiert eine T-Zellen-Subpopulation hochaffine Rezeptoren für IL-2. Diese Zellen proliferieren und vergrößern so die Population der T-Zellen, die in der Lage sind, Helfer- und Suppressorfunktionen sowie zytotoxische Wirkungen zu vermitteln.

Der IL-2-Rezeptor wird nicht ausschließlich auf T-Zellen nachgewiesen, sondern findet sich auch auf durch HTLV transformierten T- und B-Zellen, EBV-transformierten B-Zellen, myeloiden Vorläuferzellen und Oligodendrozyten. Er fehlt auf Thymozyten, ruhenden T-Zellen, nicht-aktivierten B-Zellen und Null-Zellen.

Die Expression des IL-2-Rezeptors wird mit inflammatorischen und malignen Erkrankungen, lymphoiden Neoplasien, Autoimmunerkrankungen und der Abstoßung von Allotransplantaten in Verbindung gebracht.

Produkte

Produkte

PA0305-U
7ml CD25 Bond RTU Primary
Verfügbarkeit überprüfen
PA0305
7ml CD25 Bond RTU Primary
Verfügbarkeit überprüfen

Downloads

Downloads

PA0305-U

PA0305

Zuletzt angesehen