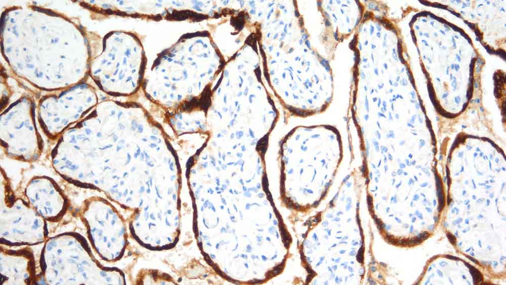
Human placenta: immunohistochemical staining with Human Chorionic Gonadotrophin (beta): Polyclonal

Gonadotrofina coriônica humana (beta)

Informações do antígeno

A gonadotrofina coriônica humana (hCG) é um hormônio de glicoproteína produzido pelas células trofoblásticas da placenta, iniciando 10 a 12 dias após a fecundação. A manutenção do feto no primeiro trimestre de gravidez requer a produção de hCG, que liga-se ao corpo lúteo do ovário, o qual é estimulado a produzir progesterona que, por sua vez, mantém o endométrio secretório.

A hCG é composta por duas subunidades, alfa e beta. A subunidade alfa da hCG é idêntica à subunidade do hormônio luteinizante, do hormônio estimulante da tireoide e do hormônio estimulante folicular. A cadeia alfa comum e as cadeias beta específicas do hormônio possuem massa molecular de 14 kD e 17 kD, respectivamente.

A subunidade beta da hCG é a única na família de hormônios de glicoproteína com conteúdo beta, pois contém uma extensão de 28 aminoácidos em sua extremidade COOH. Acredita-se que a região do terminal C da subunidade beta da HCG tem função no comportamento intracelular do heterodímero. A NCL-HCGp foi elevada até a cadeia beta isolada da gonadotrofina coriônica humana e reage com os trofoblastos da placenta. A NCL-HCGp exibe uma leve reação cruzada com o hormônio luteinizante e pode, portanto, pintar células basófilas na hipófise.

Produtos

Produtos

PA0014
ANTICORPO ANTI-HCG BOND RTU (7ML)
Checar Disponibilidade
PA0014-U
7ml HCG Bond RTU Primary
Checar Disponibilidade

Downloads

Downloads

PA0014

PA0014-U

Recently Viewed