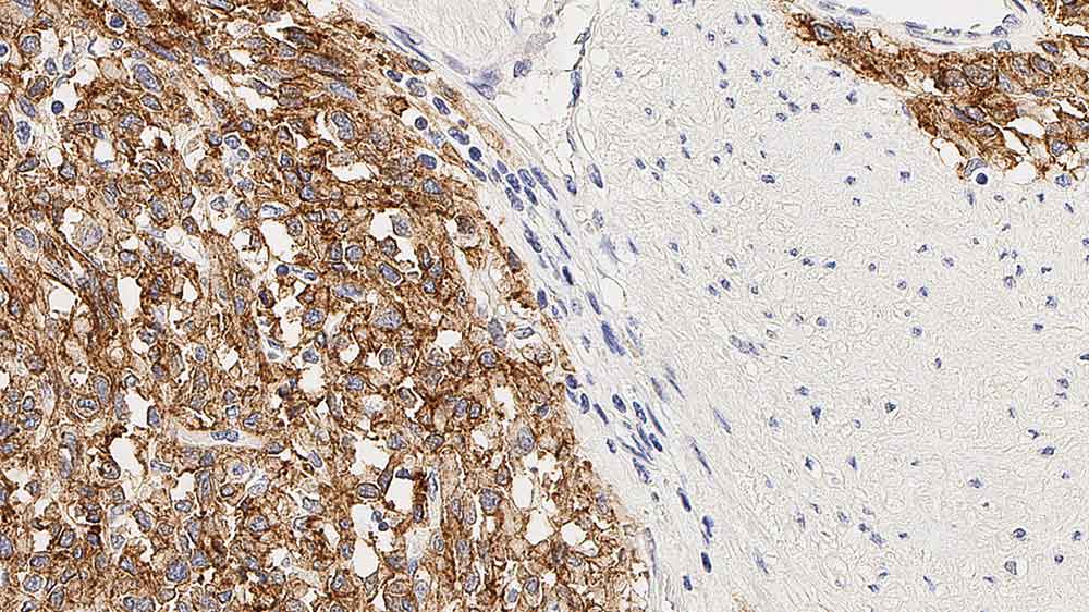
Human colon, gastrointestinal stromal tumor: immunohistochemical staining for DOG-1. Note membrane staining of neoplastic cells. DOG-1: clone K9

DOG-1

Informações do antígeno

DOG-1, uma proteína de 986 aminoácidos de função desconhecida, é expressa predominantemente na membrana plasmática de tumores estromais gastrointestinais (GIST) e raramente expressa em outros tumores de tecido moles, que, devido à aparência, podem ser confundidos com GIST.

Imunorreatividade para DOG-1 tem sido relatada ser encontrada em 97,8% dos GIST contáveis, incluindo todos os GIST KIT negativos.

Reatividade para DOG-1 tem sido sugerida para auxiliar na identificação de GIST, incluindo as mutações do alfa receptor do fator de crescimento derivado de plaquetas que não conseguem expressar antígeno KIT.

O uso de diluentes baseados em PBS pode resultar em um aumento da coloração de fundo.

Produtos

Produtos

DOG-1-L
1ml NCL-L-DOG-1
Checar Disponibilidade
DOG-1-L-CE
1 ML ANTICORPO ANTI-NCL-L-DOG-1 CLONE:K9
Checar Disponibilidade
PA0219
7 ML ANTICORPO ANTI-DOG-1 BOND RTU
Checar Disponibilidade
DOG-1-L-U
1ml NCL-L-DOG-1
Checar Disponibilidade
PA0219-U
7ml DOG-1 Bond RTU Primary
Checar Disponibilidade

Downloads

Downloads

DOG-1-L

DOG-1-L-CE

PA0219

DOG-1-L-U

PA0219-U

Recently Viewed