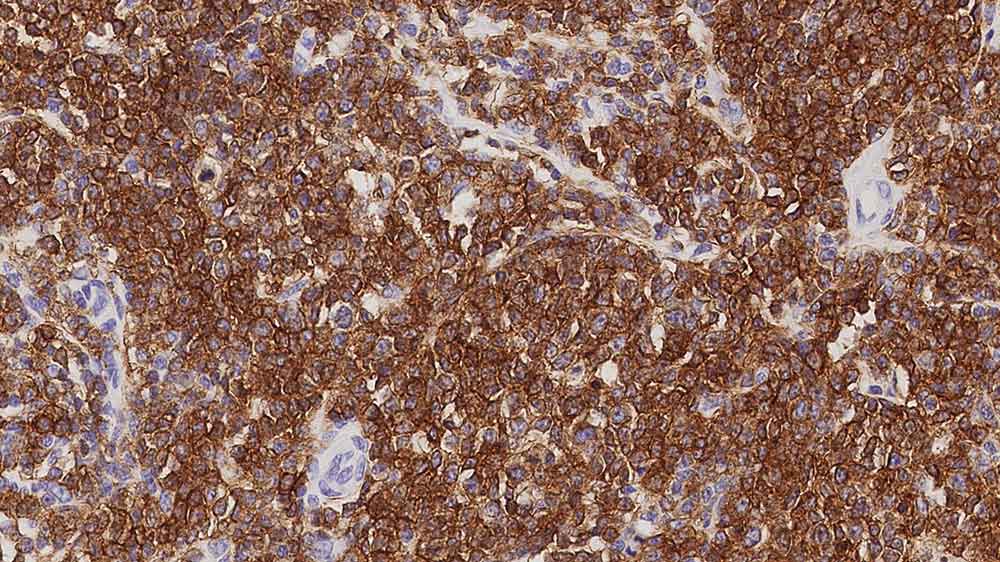
Human diffuse large B cell lymphoma: immunohistochemical staining for CD79a. Note the membrane staining of tumor cells. CD79a: clone JCB117

CD79a

Informações do antígeno

O complexo CD79 é um heterodímero ligado por dissulfureto que é associado não-covalentemente com imunoglobulinas ligadas à membrana nas células B. Este complexo de polipéptidos e imunoglobulina constituem o receptor de antígeno de células B. Os dois componentes deste complexo são designados CD79a e CD79b. O antígeno CD79a foi relatado como aparecendo primeiro na pré fase de células B, no início da maturação, e persistir até o estágio celular plasmático onde se encontra como um componente intracelular. O antígeno CD79a foi relatado como expresso na maioria das leucemias agudas de precursor tipo celular B, linhas de células B, linfomas celulares B e em alguns mielomas. Não está presente em mieloide ou linhas de células T.

Produtos

Produtos

CD79A-599-L-CE
ANTICORPO ANTI-NCL-L-CD79A-599 1ML
Checar Disponibilidade
PA0599
7ML ANTICORPO CD79A (JCB117) BOND RTU
Checar Disponibilidade
CD79A-599-L-U
1ml NCL-L-CD79a-599
Checar Disponibilidade
PA0599-U
7ml CD79a (JCB117) Bond RTU Primary
Checar Disponibilidade

Downloads

Downloads

CD79A-599-L-CE

PA0599

CD79A-599-L-U

PA0599-U

Recently Viewed