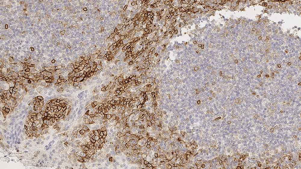
Human tonsil: immunohistochemical staining for CD99. Note membrane staining of vessel endothelium and a subpopulation of lymphocytes. CD99: clone PCB1

CD99

Informações do antígeno

A CD99 é uma glicoproteína transmembrânica de 32 kDa, codificada pelo gene MIC2, que está localizada na região pseudoautossômica dos cromossomos X e Y humanos.

Comprovou-se que o gene MIC2 codifica duas proteínas distintas que são produzidas por splicing alternativo da transcrição do gene CD99 e são identificadas como bandas de 30 e 32 kDA (p30/32). Ainda que sua função não seja completamente entendida, o CD99 foi implicado em vários processos celulares, incluindo agregação homotípica de células T, supra-regulação do receptor das células T e moléculas MHS, apoptose de timócitos imaturos e diapedese de leucócitos.

A expressão do CD99 é relatada na maioria dos tecidos humanos, incluindo timócitos corticais, células de ilhotas pancreáticas, células de Leydig e Sertoli, virtualmente todos os tipos de células hematopoiéticas (exceto os granulócitos), linfócitos do sangue periférico, células granulosas dos ovários, células endoteliais e células epiteliais escamosas basais e parabasais. A expressão do CD99 foi relatada em uma variedade de tumores, incluindo o sarcoma de Ewings e linfoma das células T.

Produtos

Produtos

CD99-187-L-CE
ANTICORPO ANTI-CD99 (1ML)
Checar Disponibilidade
CD99-187-L
1ml NCL-L-CD99-187
Checar Disponibilidade
CD99-187-L-U
1ml NCL-L-CD99-187
Checar Disponibilidade

Downloads

Downloads

CD99-187-L-CE

CD99-187-L

CD99-187-L-U

Recently Viewed