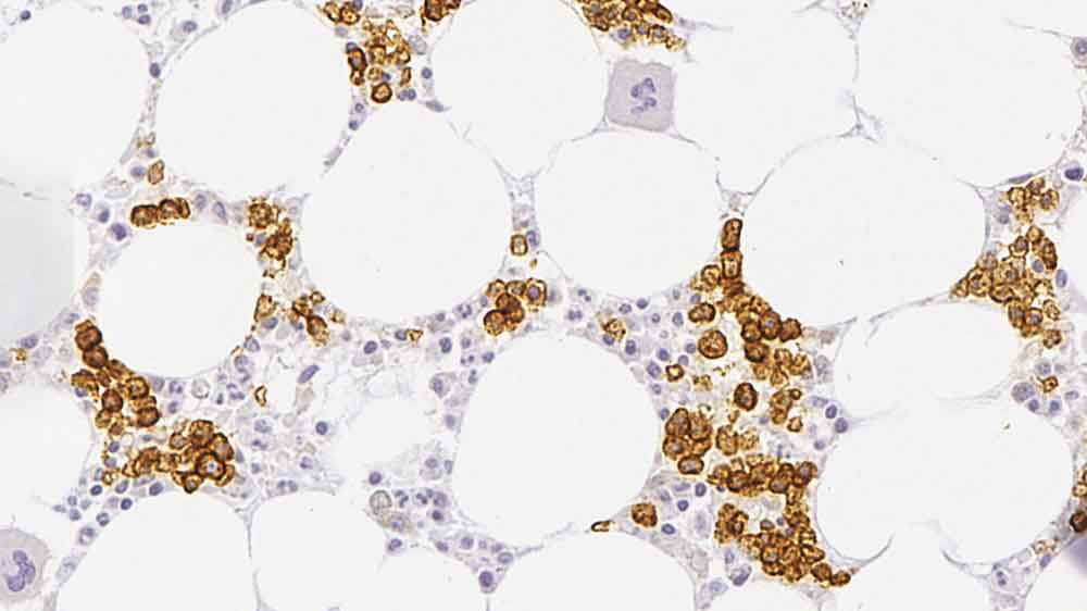
Human bone marrow: immunohistochemical staining for CD71. Note membrane staining of erythroid progenitor cells. CD71: clone 10F11

CD71

La molécule CD71 est une glycoprotéine membranaire de type II d'un poids moléculaire d'environ 180 kD. C'est le récepteur de la transferrine, composé de deux sous-unités de 90 kD liées par ponts disulfure.

La molécule CD71 joue un rôle essentiel dans la prolifération cellulaire par le contrôle du ravitaillement en fer, un composant essentiel de nombreuses voies métaboliques, par l'intermédiaire de la liaison et de l'endocytose de la transferrine, la principale protéine de transport du fer.

On a détecté l'expression de la protéine CD71 dans les lymphocytes B et T activés, dans les macrophages, dans les cellules en prolifération et les cellules métaboliquement actives, par exemple les neurones.

Produits

Produits

CD71-309-L-CE
1ml NCL-L-CD71-309
Voir Disponibilité
CD71-309-L-U
1ml NCL-L-CD71-309
Voir Disponibilité

Téléchargements

Téléchargements

CD71-309-L-CE

CD71-309-L-U

Récemment Consultés