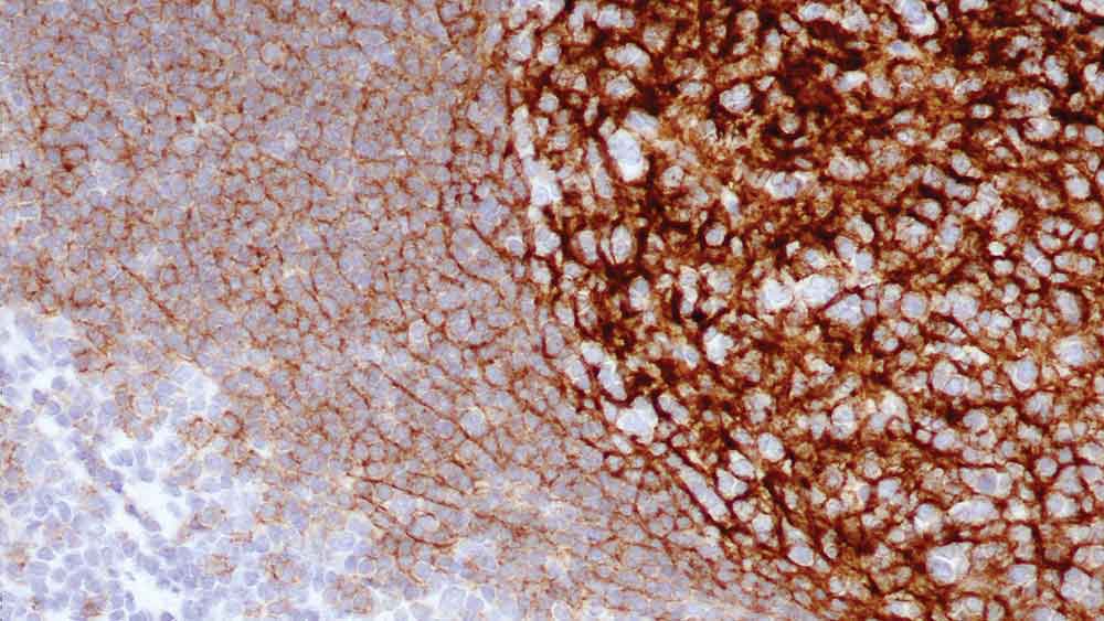
Human tonsil: immunohistochemical staining for CD21 antigen. Note intense membrane staining of follicular dendritic cells. CD21: clone 2G9

CD21

L'antigène CD21 est une glycoprotéine membranaire intégrale de type I d'un poids moléculaire de 140 kD, à fonction de récepteur du fragment C3d du troisième composant du complément.

La molécule CD21, présente dans les lymphocytes B matures, transmet des signaux promoteurs de croissance vers l'intérieur du lymphocyte B et agit comme récepteur du virus d'Epstein-Barr. L'antigène CD21 a été détecté dans les leucémies lymphoïdes chroniques à cellules B et dans certaines leucémies lymphoïdes aigües à cellules T, mais est absent des lymphocytes T, des monocytes et des granulocytes. L'expression de l'antigène CD21 a également été observée dans les cellules dendritiques folliculaires et dans les lymphomes folliculaires et les lymphomes à cellules du manteau, ainsi que dans les leucémies et les lymphomes matures.

Produits

Produits

CD21-2G9-L-CE
1ml NCL-L-CD21-2G9
Voir Disponibilité
CD21-2G9-L
1ml NCL-L-CD21-2G9
Voir Disponibilité
PA0171
7ml CD21 Bond RTU Primary
Voir Disponibilité
CD21-2G9-L-U
1ml NCL-L-CD21-2G9
Voir Disponibilité
PA0171-U
7ml CD21 Bond RTU Primary
Voir Disponibilité

Téléchargements

Téléchargements

CD21-2G9-L-CE

CD21-2G9-L

PA0171

CD21-2G9-L-U

PA0171-U

Récemment Consultés