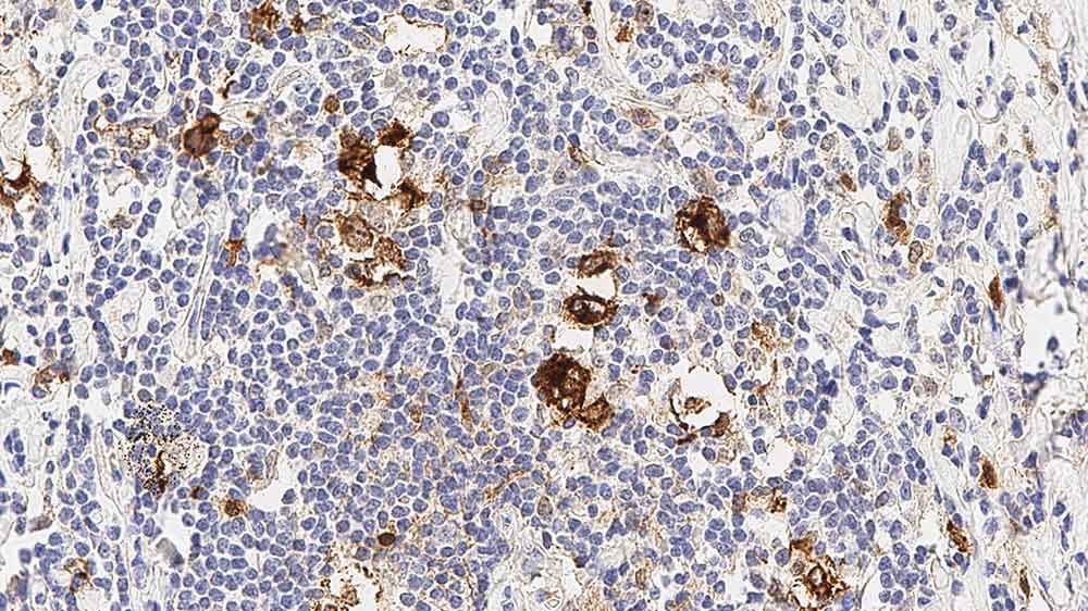
Human lymph node, nodular sclerosing Hodgkin's disease: immunohistochemical staining for CD30. Note membrane and cytoplasmic staining of the neoplastic cells, CD30: clone JCM182

CD30

Description de l'antigène

L'antigène CD30 est une glycoprotéine monomérique d'un poids moléculaire de 120 kD. On sait que l'antigène CD30 est un récepteur pour le ligand des cytokines CD30L, et pourrait également jouer un rôle dans la régulation de la croissance et de la transformation cellulaire.

L'antigène CD30 est présent à la surface des cellules de Reed-Sternberg multinucléées, des cellules de Hodgkin mononucléées et de la majorité des lymphomes anaplasiques à grandes cellules.

L'antigène CD30 est exprimé dans le lymphome non-Hodgkinien et les cellules transformées par des virus, par exemple les lymphocytes B transformés par l'EBV.

La plupart des lymphomes à cellules T n'expriment pas l'antigène CD30, à l'exception de certains lymphomes à cellules T pléomorphiques.

L'utilisation des solutions de récupération autres que celles recommandées pour le clone JCM182 dans la feuille d'information peut augmenter la réactivité non spécifique.

Produits

Produits

CD30-591-L
1ml NCL-L-CD30-591
Voir Disponibilité
CD30-591-L-CE
1ml NCL-L-CD30-591
Voir Disponibilité
PA0790
7ml CD30 Bond RTU Primary
Voir Disponibilité
CD30-591-L-U
1ml NCL-L-CD30-591
Voir Disponibilité
PA0790-U
7ml CD30 (JCM182) Bond RTU Primary
Voir Disponibilité

Téléchargements

Téléchargements

CD30-591-L

CD30-591-L-CE

PA0790

CD30-591-L-U

PA0790-U

Récemment Consultés