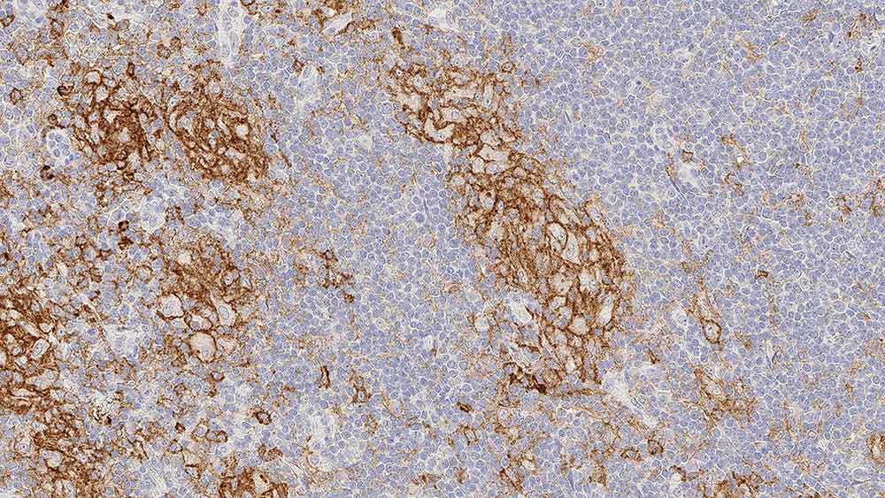
Human lymph node, anaplastic lymphoma: immunohistochemical staining for CD33. Note membrane staining of neoplastic cells. CD33: clone PWS44

CD33

Description de l'antigène

L'antigène CD33 apparaît à la surface des cellules précurseurs myélomonocytaires après l'expression de l'antigène CD34.

Son expression continue dans les lignées myéloïdes et monocytaires, bien qu'il n'ait pas été observé dans les granulocytes.

L'expression de CD33 est limitée aux monocytes, aux prémyélocytes, aux blastes myéloïdes, à certaines leucémies aigües indifférenciées et aux leucémies lymphoblastiques aigües.

On a démontré que l'expression de l'antigène CD33 est un marqueur important pour la distinction entre les leucémies myéloïdes et lymphoïdes.

Produits

Produits

PA0555-U
7ml CD33 Bond RTU Primary
Voir Disponibilité
CD33-L
1ml NCL-L-CD33
Voir Disponibilité
CD33-L-CE
1ml NCL-L-CD33
Voir Disponibilité
PA0555
7ml CD33 Bond RTU Primary
Voir Disponibilité
CD33-L-U
1ml NCL-L-CD33
Voir Disponibilité

Téléchargements

Téléchargements

PA0555-U

CD33-L

CD33-L-CE

PA0555

CD33-L-U

Récemment Consultés