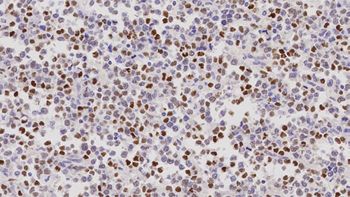
Human mantle cell lymphoma: nuclear staining of the malignant post-germinal B lymphocytes. Cyclin D1: clone EP12

Cyclin D1

Description de l'antigène

Les cyclines de type D sont une famille de protéines dont la fonction principale est la régulation de l'activité des kinases cycline-dépendantes dans la phase G1 du cycle cellulaire. La cycline D1, une protéine de 36 kD, est aussi connue sous les noms de PRAD1 et bcl-1. L'expression maximale de la cycline D1 se produit à un point critique entre le milieu et la fin de la phase G1 du cycle cellulaire.

Le gène de la cycline D1, situé à la position 11q13, est surexprimé dans les lymphomes des cellules du manteau, par suite de la translocation chromosomique t(11;18). Elle a également été observée dans environ 30 pour cent des cancers du sein.

Produits

Produits

CYCLIND1-GM-L-CE
1ml NCL-L-CYCLIND1-GM
PA0046
7ml Cyclin D1 (EP12) Bond RTU Primary

Téléchargements

Téléchargements

CYCLIND1-GM-L-CE

PA0046

Récemment Consultés