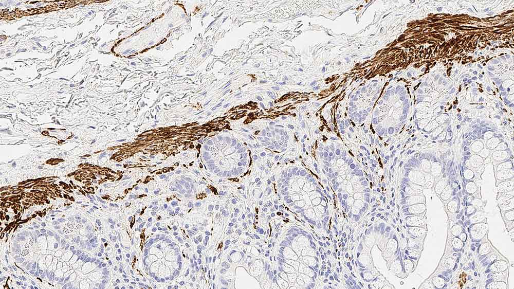
Human bowel: immunohistochemical staining for desmin. Note cytoplasmic staining of smooth muscle containing cells. Desmin: clone DE-R-11

Desmin

Description de l'antigène

Le NCL-DES-DERII réagit avec une partie en forme de bâtonnet de 18kD de la desmine des filaments intermédiaires (53 kD) dans les cellules musculaires. L'anticorps ne semble pas reconnaître d'autres protéines de filaments intermédiaires.

Dans les tissus normaux, le clone DE-RII réagit avec les muscles striés (squelettiques et cardiaques) et les muscles lisses. Le marquage est limité aux bandes W du muscle squelettique et cardiaque, ce qui lui donne une caractéristique de l'apparence striée.

Produits

Produits

DES-DERII-L-CE
1ml NCL-L-DES-DERII
PA0032
7ml Desmin Bond RTU Primary

Téléchargements

Téléchargements

DES-DERII-L-CE

PA0032

Récemment Consultés