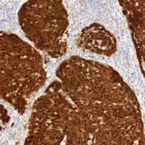
Squamous Cell Carcinoma of tonsil, stained with p16 BOND Ready-to-Use Primary Antibody (6H12), PA0016

p16

Antigen Background
p16 (INK4a) (Cyclin-dependent kinase inhibitor 2A (CDKN2A)) is a tumour suppressor protein associated with cell cycle progression, specifically in the regulation of transition from G1 phase of the cell cycle into the S phase. Oncogenic mutations in the CDKN2A gene that encodes p16 (resulting in over or under-expression of the protein) is associated with a wide range of cancers and cancer precursor lesions.

Disclaimer
p16 is recommended for the detection of specific antigens of interest in normal and neoplastic tissues, as an adjunct to conventional histopathology using non-immunologic histochemical stains.

Produits

Produits

PA0016
7mL p16 (6H12) BOND RTU Primary

Téléchargements

Téléchargements

PA0016

Récemment Consultés