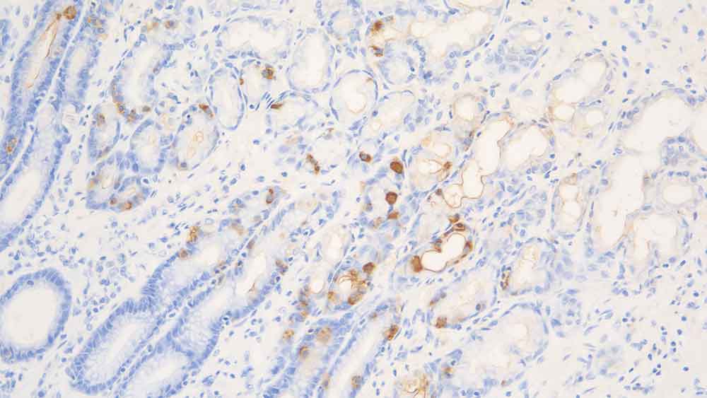
Normal human stomach: immunohistochemical staining for Gastrin. Note: intense cytoplasmic staining of neuroendocrine cells. Gastrin: Polyclonal

Gastrin

Description de l'antigène

La gastrine, une hormone polypeptidique, est présente naturellement sous trois formes : gastrine-14, gastrine-17 et gastrine-34.

Les hyperplasies primaires et secondaires des cellules G sont caractérisées par une agglomération des cellules immunoréactives qui projettent parfois des bourgeonnements dans les glandes muqueuses.

Le NCL-GASp réagit avec les gastrines 17 et 34 non sulfatées (I) et sulfatées (II). L'anticorps présente une réaction croisée avec l'octapeptide cholécystokinine.

Le NCL-GASp marque les cellules productrices de gastrine ou d'analogues de la gastrine.

Produits

Produits

PA0681
7ml Gastrin Bond RTU Primary

Téléchargements

Téléchargements

PA0681

Récemment Consultés