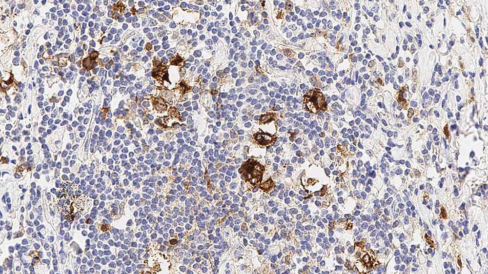
Human lymph node, nodular sclerosing Hodgkin's disease: immunohistochemical staining for CD30. Note membrane and cytoplasmic staining of the neoplastic cells, CD30: clone JCM182

CD30

Hintergrund des Antigens

Das CD30-Antigen ist ein einkettiges Glykoprotein mit einem Molekulargewicht von 120 kD. Vom CD30-Antigen ist bekannt, dass es als Rezeptor für einen Cytokin-Liganden, CD30L, fungiert; außerdem könnte es eine Rolle bei der Regulation von Zellwachstum und -transformation spielen.

Das CD30-Antigen soll auf der Oberfläche von multinukleären Reed-Sternberg-Zellen, mononukleären Hodgkin-Zellen und bei der Mehrzahl der anaplastischen großzelligen Lymphome exprimiert werden.

Überdies wird es bei Non-Hodgkin-Lymphomen und viral transformierten Zellen, z. B. von EBV-transformierten B-Zellen, exprimiert.

Mit Ausnahme einiger pleomorpher T-Zell-Lymphome exprimieren die meisten T-Zell-Lymphome das CD30-Antigen nicht.

Die Verwendung anderer Demaskierungslösungen als im Datenblatt von Klon JCM182 empfohlen kann zu einer erhöhten Hintergrundreaktivität führen.

Produkte

Produkte

CD30-591-L
1ml NCL-L-CD30-591
Verfügbarkeit überprüfen
CD30-591-L-CE
1ml NCL-L-CD30-591
Verfügbarkeit überprüfen
PA0790
7ml CD30 (JCM182) Bond RTU Primary
Verfügbarkeit überprüfen
CD30-591-L-U
1ml NCL-L-CD30-591
Verfügbarkeit überprüfen
PA0790-U
7ml CD30 (JCM182) Bond RTU Primary
Verfügbarkeit überprüfen

Downloads

Downloads

CD30-591-L

CD30-591-L-CE

PA0790

CD30-591-L-U

PA0790-U

Zuletzt angesehen