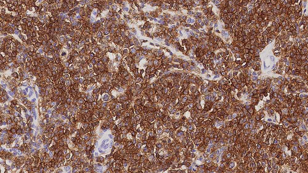
Human diffuse large B cell lymphoma: immunohistochemical staining for CD79a. Note the membrane staining of tumor cells. CD79a: clone JCB117

CD79a

Hintergrund des Antigens

Der CD79-Komplex ist ein über Disulfidbrücken verbundenes Heterodimer, das nicht-kovalent mit membrangebunden Immunglobulinen auf B-Zellen assoziiert ist. Dieser Komplex aus Polypeptiden und Immunglobulin bildet gemeinsam den B-Zell-Antigen-Rezeptor. Die beiden Komponenten dieses Komplexes werden als CD79a und CD79b bezeichnet. Das CD79a-Antigen tritt in einem frühen Stadium der Reifung von B-Zellen, der Prä-B-Zellphase, auf und bleibt bis zum Plasmazellstadium erhalten, in dem es als intrazelluläre Komponente nachweisbar ist. Es wird bei der Mehrzahl akuter Leukämien des Prä-B-Zelltyps, von B-Zelllinien, B-Zell-Lymphomen und einigen Myelomen exprimiert. In myeloiden oder T-Zelllinien kommt es nicht vor.

Produkte

Produkte

CD79A-599-L-CE
1ml NCL-L-CD79a-599
Verfügbarkeit überprüfen
PA0599
7ml CD79a (JCB117) Bond RTU Primary
Verfügbarkeit überprüfen
CD79A-599-L-U
1ml NCL-L-CD79a-599
Verfügbarkeit überprüfen
PA0599-U
7ml CD79a (JCB117) Bond RTU Primary
Verfügbarkeit überprüfen

Downloads

Downloads

CD79A-599-L-CE

PA0599

CD79A-599-L-U

PA0599-U

Zuletzt angesehen