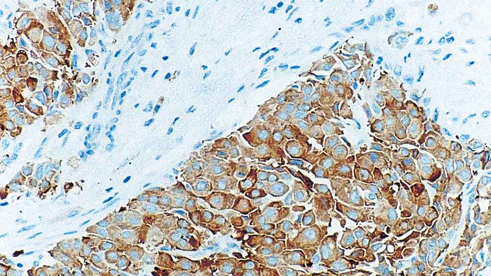
Breast carcinoma showing neuroendocrine differentiation: immunohistochemical staining for Synaptophysin. Note cytoplasmic staining of tumor cells. Synaptophysin: clone 27G12

Synaptophysin

Hintergrund des Antigens

Synaptophysin ist ein integrales Membranglykoprotein mit einem Molekulargewicht von 38 kD. Sein Vorkommen wird in den präsynaptischen Vesikeln der Neuronen in Gehirn, Rückenmark und Netzhaut sowie in ähnlichen Vesikeln im Nebennierenmark und in den motorischen Endplatten beobachtet.

Synaptophysin ist möglicherweise an der Bildung der synaptischen Vesikel und an der Exozytose beteiligt. Synaptophysin soll in einem breiten Spektrum neuroendokriner Tumoren einschließlich Neuroblastome, Ganglioneuroblastome, Phäochromozytome, chromaffine und nicht-chromaffine Paragangliome exprimiert werden.

Sie wird zudem in neuroendokrinen Tumoren vom Epitheltyp einschließlich Adenome der Hirnanhangdrüse, Inselzelltumore, medulläre Karzinome der Schilddrüse, Adenome der Nebenschilddrüsen, Karzinoide der Atemwege und des Magen-Darm-Trakts, neuroendokrine Karzinome der Atemwege und des Magen-Darm-Trakts sowie neuroendokrine Karzinome der Haut beschrieben.

Produkte

Produkte

PA0299-U
7ml Synaptoph Bond RTU Primary
Verfügbarkeit überprüfen
SYNAP-299-L-CE
1ml NCL-L-SYNAP-299
Verfügbarkeit überprüfen
PA0299
7ml Synaptoph Bond RTU Primary
Verfügbarkeit überprüfen
SYNAP-299-L-U
1ml NCL-L-SYNAP-299
Verfügbarkeit überprüfen

Downloads

Downloads

PA0299-U

SYNAP-299-L-CE

PA0299

SYNAP-299-L-U

Zuletzt angesehen