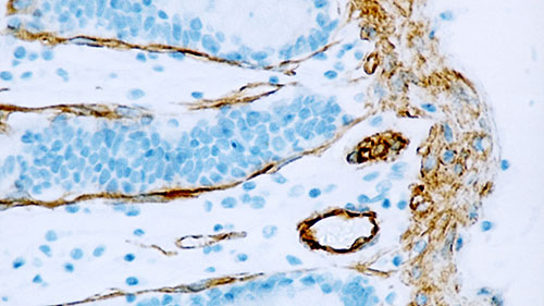
Normal human colon: immunohistochemical staining for Caveolin-1. Note cytoplasmic staining of smooth muscle and endothelium. Caveolin-1: clone 4D6

Caveolin-1

Hintergrund des Antigens

Caveolin-1 ist eine wichtige Strukturkomponente der Caveolae, blasenförmige Einstülpungen der Plasmamembran bei unterschiedlichen Zelltypen. Es spielt eine Rolle bei der Regulierung verschiedener Signalwege und soll in endgültig differenzierten Mesenchymzellen wie den Zellen der glatten Muskulatur, Adipozyten und Endothelzellen besonders stark exprimiert werden.

Hohe Expressionsniveaus werden auch in Fibroblasten nachgewiesen, für die ein feines granulär-membranöses und ein diffuses zytoplasmatisches Färbemuster beschrieben ist. Beim Pankreaskarzinom soll Caveolin-1 auf der Zellmembran und im Zytoplasma der Krebszellen exprimiert werden.

Wie spätere Studien gezeigt haben, könnte Caveolin-1 bei bestimmten Malignitäten beim Menschen, z. B. Sarkomen, als Tumorsuppressor wirksam sein.

Produkte

Produkte

CAVEOLIN-1-L
1ml NCL-L-Caveolin-1
Verfügbarkeit überprüfen

Downloads

Downloads

CAVEOLIN-1-L

Zuletzt angesehen