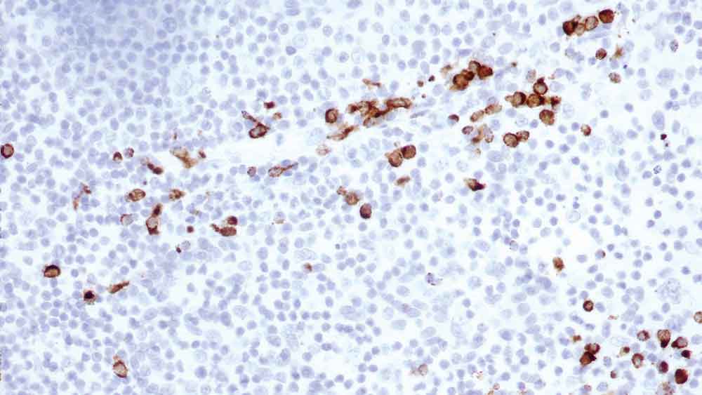
Human tonsil: immunohistochemical staining for Granzyme B: clone 11F1

Granzyme B

Hintergrund des Antigens

Granzyme sind neutrale Serinproteasen, die in spezialisierten lytischen Granula zytotoxischer T-Lymphozyten (CTL) und in natürlichen Killerzellen (NK-Zellen) gespeichert werden.

Diese CTL- und NK-Zellen spielen eine wichtige Rolle bei der Elimination neoplastischer und virusinfizierter Zellen. Sekretorische Granula, die Perforin und Granzyme enthalten, sind bei der zytolytischen Aktivität behilflich.

Es wird davon ausgegangen, dass Granzym B über einen Perforin-Transmembrankanal in die Zielzelle eindringt, um die DNA-Fragmentierung und Apoptose zu induzieren. Granzym B wurde auch in neoplastischen CTL- und NK-Zellen nachgewiesen.

Produkte

Produkte

PA0291-U
7ml Granzyme B Bond RTU Prim
Verfügbarkeit überprüfen
GRAN-B-L-CE
1ml NCL-L-GRAN-B
Verfügbarkeit überprüfen
GRAN-B-L
1ml NCL-L-GRAN-B
Verfügbarkeit überprüfen
PA0291
7ml Granzyme B Bond RTU Prim
Verfügbarkeit überprüfen
GRAN-B-L-U
1ml NCL-L-GRAN-B
Verfügbarkeit überprüfen

Downloads

Downloads

PA0291-U

GRAN-B-L-CE

GRAN-B-L

PA0291

GRAN-B-L-U

Zuletzt angesehen