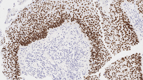
Squamous cell carcinoma of lung: Immunohistochemistry staining of p40. p40: clone BC28

p40

Antecedentes de antigénio
p40 (Delta Np63) é um produto truncado do p63. É normalmente expresso na camada celular basal ou progenitora de células basais, do epitélio estratificado da próstata, bem como células mioepiteliais da mama e glândulas salivares, e citotrofoblastos na placenta, e apresenta um padrão de coloração nuclear com IHC. Entre os inúmeros neoplasmas com resultados positivos para p40, carcinomas de células escamosas de origem pulmonar e não pulmonar podem ser identificados a partir de outras malignidades.

Isenções de responsabilidade
A p40 é recomendada para a detecção de antígenos específicos de interesse em tecidos saudáveis e neoplásicos, como adjuvante da histopatologia convencional, usando colorações histoquímicas não imunológicas.

Produtos

Produtos

PA0163
7ML ANTICORPO ANTI-p40 (BC28) BOND RTU
Checar Disponibilidade
PA0163-U
7ml p40 (BC28) Bond RTU Primary
Checar Disponibilidade

Downloads

Downloads

PA0163

PA0163-U

Recently Viewed