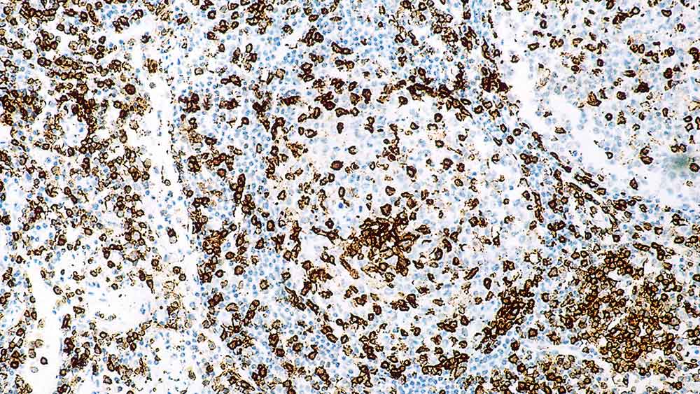
Human tonsil: immunohistochemical staining with CD45RO: clone UCHL1

CD45RO

A molécula de CD45RO, uma isoforma de 180 kD da CD45, é relatada como expressa em 48% dos linfócitos T de sangue periférico, 37% de linfócitos CD4 positivos, 80% de timócitos e na maioria das malignidades de células T.

Os monócitos e granulócitos mostram a expressão superficial do antígeno enquanto os macrófagos do tecido exibem expressão citoplasmática.

A técnica de recuperação termoinduzida de epítopo (HIER) pode melhorar a coloração em alguns casos.

Produtos

Produtos

UCHL1-L
1ML ANTICORPO ANTI-UCHL1
Checar Disponibilidade
PA0146
ANTICORPO ANTI-CD45RO BOND RTU (7ML)
Checar Disponibilidade

Downloads

Downloads

UCHL1-L

PA0146

Recently Viewed