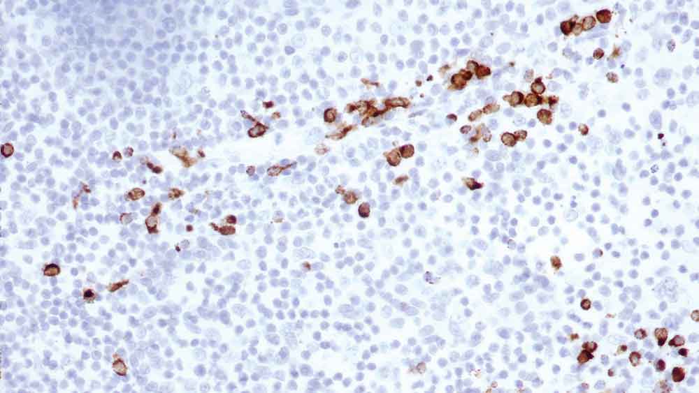
Human tonsil: immunohistochemical staining for Granzyme B: clone 11F1

Granzima B

Informações do antígeno

Granzimas são serina proteases neutras que são armazenadas em grânulos líticos especializados dos linfócitos citotóxicos T (CTL) e em células exterminadoras naturais (NK).

Estas células CTL e NK estão fortemente envolvidas na eliminação de células neoplásticas e infectadas por vírus. Os grânulos secretores que contêm perforina e granzimas contribuem decisivamente na realização da atividade citolítica.

Entende-se que a granzima B entra em uma célula alvo através de um canal de perforina formado por poro para induzir a fragmentação do DNA e a apoptose. A granzima B também foi descrita em células NK e CTL neoplásticas.

Produtos

Produtos

PA0291-U
7ml Granzyme B Bond RTU Prim
Checar Disponibilidade
GRAN-B-L-CE
1ml NCL-L-GRAN-B
Checar Disponibilidade
GRAN-B-L
1ml NCL-L-GRAN-B
Checar Disponibilidade
PA0291
ANTICORPO ANTI-GRANZIMA B BOND RTU (7ML)
Checar Disponibilidade
GRAN-B-L-U
1ml NCL-L-GRAN-B
Checar Disponibilidade

Downloads

Downloads

PA0291-U

GRAN-B-L-CE

GRAN-B-L

PA0291

GRAN-B-L-U

Recently Viewed