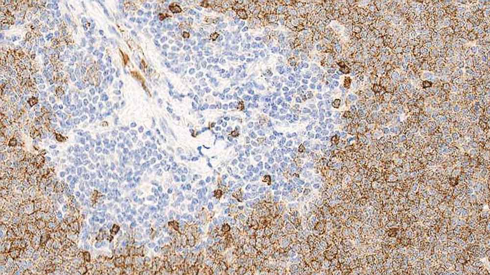
Mantle cell lymphoma: immunohistochemical staining for Immunoglobulin D. Note the mantle cell tumor cells show moderate staining for Immunoglobulin D, with a stronger reaction seen in plasma cells. Immunoglobulin D: clone DRN1C

Imunoglobulina D

Informações do antígeno

A IgD, junto com IgM, são as principais imunoglobulinas expressadas na superfície de células B, onde elas aparentam operar como receptores antígenos interagindo mutuamente para o controle de ativação de linfócitos e supressão.

A maior suscetibilidade da IgD à proteólise em combinação com antígeno poderia estar bem implicada em tal função.

O uso de diluentes com base de PBS pode resultar em coloração de fundo aumentada. O clone DRN1C foi desenvolvido para produzir coloração de fundo reduzida, que está associada com anticorpos policlonais em seções de parafina.

Produtos

Produtos

IGD-L
1ml NCL-L-IgD
Checar Disponibilidade
IGD-L-CE
ANTICORPO ANTI-IGD (1ML)
Checar Disponibilidade
PA0061
7ml IgD (DRN1C) Bond RTU Primary
Checar Disponibilidade
IGD-L-U
1ml NCL-L-IgD
Checar Disponibilidade
PA0061-U
7ml IgD (DRN1C) Bond RTU Primary
Checar Disponibilidade

Downloads

Downloads

IGD-L

IGD-L-CE

PA0061

IGD-L-U

PA0061-U

Recently Viewed