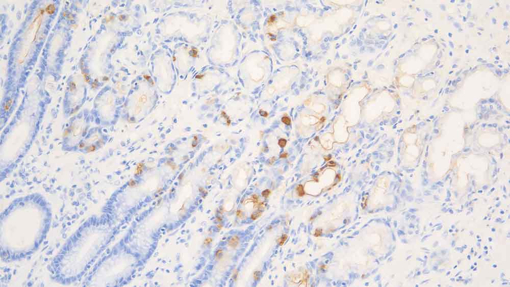
Normal human stomach: immunohistochemical staining for Gastrin. Note: intense cytoplasmic staining of neuroendocrine cells. Gastrin: Polyclonal

Gastrina

Informações do antígeno

A gastrina, um hormônio polipeptídeo, ocorre naturalmente de três formas: gastrina-14, gastrina-17 e gastrina-34.

Sabe-se que tanto a hiperplasia das células G primárias quanto secundárias é caracterizada pelo agrupamento das células imunorreativas que, às vezes, projetam brotos a partir das glândulas mucosas.

O NCL-GASp reage com a gastrina-17 não sulfatada (I) e sulfatada (II), como também com a gastrina-34. O anticorpo reage de forma cruzada com o octapeptídeo de colecistocinina.

O NCL-GASp classifica as células de gastrina ou aquelas que produzem análogos de gastrina.

Produtos

Produtos

PA0681
ANTICORPO ANTI-GASTRINA BOND RTU (7ML)
Checar Disponibilidade

Downloads

Downloads

PA0681

Recently Viewed