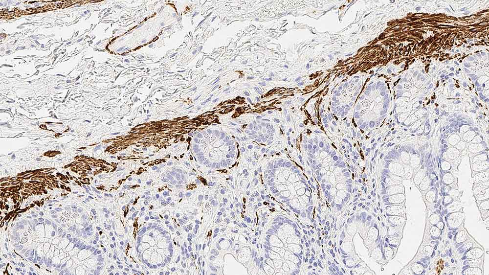
Human bowel: immunohistochemical staining for desmin. Note cytoplasmic staining of smooth muscle containing cells. Desmin: clone DE-R-11

Desmina

Informações do antígeno

O NCL-DES-DERII reage com um pedaço de bastonete de 18 kD de desmina da proteína de filamento intermediário (53 kD) em células musculares. O anticorpo não parece reconhecer outras proteínas de filamento intermediário.

Em tecidos normais, o Clone DE-RII reage com ambas as células musculares estriadas (esqueletais e cardíacas) e lisas. A marcação é limitada às bandas Z no músculo esqueletal e cardíaco, dando uma aparência estriada característica.

Produtos

Produtos

DES-DERII-L-CE
1ML ANTICORPO ANTI-DES-DERII (DE-R-11)
Checar Disponibilidade
PA0032
7ML ANTICORPO ANTI-DESMINA BOND RTU
Checar Disponibilidade
DES-DERII-L-U
1ml NCL-L-DES-DERII
Checar Disponibilidade
PA0032-U
7ml Desmin Bond RTU Primary
Checar Disponibilidade

Downloads

Downloads

DES-DERII-L-CE

PA0032

DES-DERII-L-U

PA0032-U

Recently Viewed