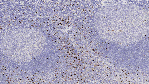
Human Tonsil: Immunohistochemistry staining of FOXP3. FOXP3: clone 236A/E7

FOXP3

Antecedentes de antigénio
FOXP3 (Forkhead Box Protein 3, Scurfin) é um membro da família de caixa forkhead (FOX) de fatores de transcrição. Estas proteínas são caracterizadas por um domínio de ligação do ADN de forkhead altamente conservado. A FOXP3 tem um papel importante na regulação imunitária, com o seu efeito na redução da expressão de Interleucina-2, causando uma função reduzida das células T auxiliares. O papel da FOXP3 no cancro é multifacetado, com papéis tanto no desenvolvimento do tumor (através da supressão da atividade das células T) como na supressão do oncogene.

Isenções de responsabilidade
A FOXP3 é recomendada para a detecção de antígenos específicos de interesse em tecidos saudáveis e neoplásicos, como adjuvante da histopatologia convencional, usando colorações histoquímicas não imunológicas.

Produtos

Produtos

PA0263
7ML ANTICORPO FOXP3 (236A/E7) BOND RTU
Checar Disponibilidade

Downloads

Downloads

PA0263

Recently Viewed