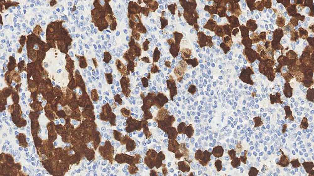
Anaplastic large cell lymphoma: immunohistochemical staining for ALK. Note the strong nuclear and cytoplasmic staining in the neoplastic cells. ALK: clone 5A4

ALK

Informações do antígeno

O linfoma celular grande anaplástico (ALCL) é geralmente composto de grandes células pleomórficas, as quais relata-se que expressam antígeno CD30 e o antígeno de membrana epitelial (EMA).

Estas células de tumor tendem a ocorrer em indivíduos mais jovens e podem estar associadas com envolvimento extranodal e cutâneo. Uma proporção destes casos contém uma translocação cromossômica t(2;5) (p23;q35).

Isto resulta em uma parte de codificação de gene híbrida do gene de nucleofosmina (NPM) ligada ao domínio citoplasmático do gene de quinase de linfoma anaplástico (ALK), dando elevação à proteína, p80.

Linfomas de células grandes responsabilizam-se por aproximadamente 23% de todos os linfomas não-Hodgkin em crianças e jovens adultos, dos quais, um terço carrega a translocação de gene NPM-ALK.

Produtos

Produtos

ALK-L-CE-H
ANTICORPO ANTI-ALK (0,5ML)
Checar Disponibilidade
PA0831
ANTICORPO ALK BOND RTU CLONE: 5A4 (7ML)
Checar Disponibilidade
ALK-L-H-U
0.5ml NCL-L-ALK
Checar Disponibilidade
PA0831-U
7 mL ALK (5A4) BOND RTU Primary
Checar Disponibilidade

Downloads

Downloads

ALK-L-CE-H

PA0831

ALK-L-H-U

PA0831-U

Recently Viewed