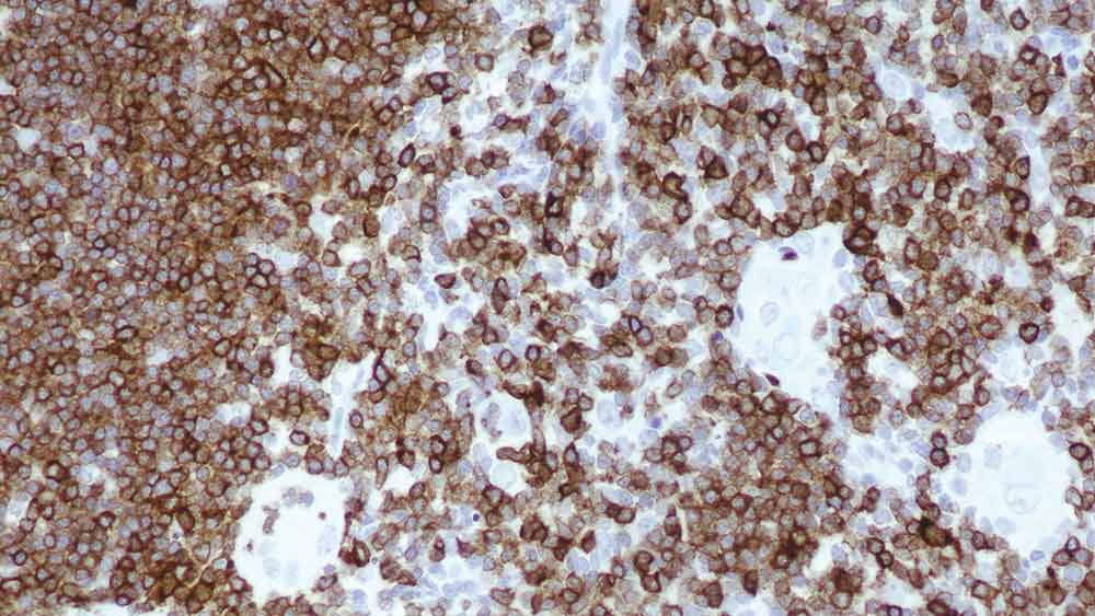
T cell lymphoma: immunohistochemical staining for CD7. Note the intense membrane staining of tumor cells. CD7: clone LP15

CD7

Informações do antígeno

A molécula CD7 é uma glicoproteína unida a membrana de 40 kD e é o primeiro antígeno específico de célula T a ser expresso nos linfócitos. O antígeno CD7 também é o único marcador inicial a persistir ao longo da diferenciação.

A função e papel da molécula CD7 ainda não foi identificado por completo, embora a ativação de células T com receptores delta gama foi proposta com base na ativação induzida de mAb. O antígeno CD7 foi relatado como encontrado na maioria das células T do sangue periférico, nas maiorias das células exterminadoras naturais e timócitos. O clone LP15 foi desenvolvido para fornecer uma coloração superior ao clone CD7-272 das secções de parafina.

Produtos

Produtos

CD7-580-L-CE
ANTICORPO ANTI-CD7
Checar Disponibilidade
PA0266
ANTICORPO ANTI-CD7 BOND RTU (7ML)
Checar Disponibilidade
CD7-580-L-U
1ml NCL-L-CD7-580
Checar Disponibilidade
PA0266-U
7ml CD7 Bond RTU Primary
Checar Disponibilidade

Downloads

Downloads

CD7-580-L-CE

PA0266

CD7-580-L-U

PA0266-U

Recently Viewed