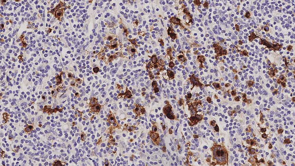
Hodgkin's disease, mixed cellularity: immunohistochemical staining for CD15. Note the mixed cellular membrane staining and characteristic staining of paranuclear hofs of Reed Sternberg cells. CD15: clone MMA

CD15

Informações do antígeno

O antígeno CD15, também conhecido como hapteno-X, se expressa em 90 por cento dos granulócitos humanos em circulação, 30 a 60 por cento de monócitos em circulação e está ausente em linfócitos normais.

O antígeno CD15 também se expressa nas células de Reed Sternberg da doença de Hodgkins e em algumas leucemias. Perceba que pode-se usar o pré-tratamento de enzinas ou o desmascaramento do antígeno com a técnica de recuperação do epítopo induzida por calor (HIER) com 1mM de solução EDTA (pH 8.0) em tecido fixado e incluso em parafina.

A escolha da técnica de desmascaramento do antígeno a fim de fornecer os melhores resultados deve ser determinada pelo usuário.

Produtos

Produtos

CD15-605-L-CE
1ML ANTICORPO ANTI-NCL-L-CD15-605 (MMA)
Checar Disponibilidade
PA0039
7ml CD15 Bond RTU Primary
Checar Disponibilidade
ou SOLICITE um orçamento em massa.
PA0473
7ML ANTICORPO ANTI-CD15 (MMA) Bond RTU
Checar Disponibilidade
CD15-605-L-U
1ml NCL-L-CD15-605
Checar Disponibilidade
PA0473-U
7ml CD15 (MMA) Bond RTU Primary
Checar Disponibilidade

Downloads

Downloads

CD15-605-L-CE

PA0039

PA0473

CD15-605-L-U

PA0473-U

Recently Viewed