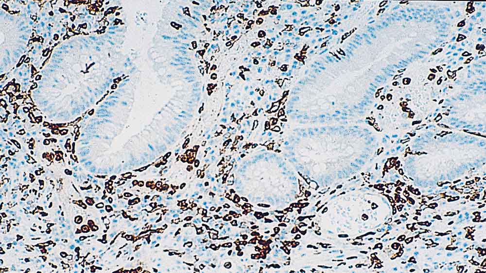
Human colon, ulcerative colitis: immunohistochemical staining for CD16. Note intense membrane staining of infiltrating natural killer cells, granulocytes and activated macrophages. CD16: clone 2H7

CD16

Informações do antígeno

O antígeno CD16 tem um peso molecular de 50 a 70 kD e é um receptor Fc de baixa afinidade para a IgG complexada, Fc/gama RIII, expressa nas células natural killer (NK), granulócitos, macrófagos ativados e um subconjunto de células T expressantes de receptores de antígeno de célula T gama-delta ou alfa-beta. O antígeno CD16 existe tanto como uma proteína ancorada glicosil-fosfatidilinositol (GPI) em células polimorfonucleares e como uma proteína transmembranar em células NK.

Produtos

Produtos

CD16-L-CE
ANTICORPO ANTI-CD16 CLONE: 2H7 (1ML)
Checar Disponibilidade
CD16-L-U
1ml NCL-L-CD16
Checar Disponibilidade

Downloads

Downloads

CD16-L-CE

CD16-L-U

Recently Viewed