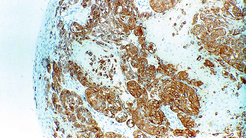
Human malignant melanoma: immunohistochemical staining for Tyrosinase: clone T311

Tirosinase

Informações do antígeno

A biossíntese de melanina nos melanócitos envolve uma família de enzimas, um membro chave da qual é a tirosinase.

A L-tirosinase é o substrato inicial para a biossíntese da melanina e a sua conversão para dopaquinona é catalisada pela tirosinase, cuja expressão é relatada em melanócitos e melanomas.

A deficiência de tirosinase está associada com várias formas de albinismo e em particular o albinismo oculocutâneo.

A expressão da tirosinase em lesões melanocíticas pode ser avaliada usando a Tirosinase (T311).

Produtos

Produtos

TYROS-L-CE
1ml NCL-L-TYROS
PA0322
7ML ANTICORPO TIROSINASE (T311) BOND RTU

Downloads

Downloads

TYROS-L-CE

PA0322

Recently Viewed