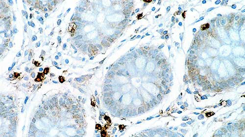
Human colon: immunohistochemical staining for Interleukin 6. Note cytoplasmic staining of a proportion of lymphoid cells. Interleukin 6: clone 10C12

Interleucina 6

A IL-6 é uma citocina multifuncional que é secretada por ambas as células linfoides e não-linfoides. Ela cumpre um papel chave nas respostas imunológicas, hematopoese e é uma citocina importante na proliferação e diferenciação celular.

Ela também pode cumprir um papel importante como um fator de crescimento autócrino em câncer de próstata metastático. Relatou-se que a IL-6 cumpre um papel na secreção ou liberação de hormônio pituitário em células de secreção de hormônio pituitário e adenomas.

Além disso, sugeriu-se que a IL-6 tem um efeito trófico em células nervosas e tem um papel patogênico direto em desordens de CNS. Há um número crescente de relatos de que as citocinas da família IL-6 cumprem um papel regulatório importante na fisiologia do coração.

Produtos

Produtos

IL6-L
1ml NCL-L-IL6

Downloads

Downloads

IL6-L

Recently Viewed