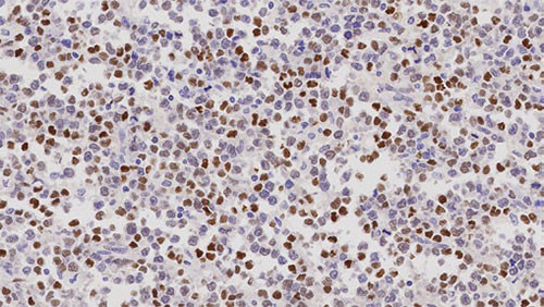
Human mantle cell lymphoma: nuclear staining of the malignant post-germinal B lymphocytes. Cyclin D1: clone EP12

Ciclina D1

Informações do antígeno

A ciclinas do tipo D são uma família de proteínas que funcionam principalmente regulando a atividade das quinases dependentes de ciclina na fase G1 do ciclo da célula. A ciclina D1, uma proteína de massa molecular de 36 kD, também é conhecida como PRAD1 ou bcl-1. A expressão máxima da ciclina D1 ocorre em um ponto crítico no meio para o fim da fase G1 do ciclo da célula.

Relata-se que o gene da ciclina D1, localizado em 11q13, é expressado em demasia em linfomas de células do manto devido à translocação cromossômica t(11;18). Ele também foi observado em aproximadamente 30 por cento dos cânceres de mama.

Produtos

Produtos

CYCLIND1-GM-L-CE
1ML ANTICORPO ANTI-CICLINA D1
PA0046
7ML ANTICORPO CICLINA D1 (EP12) BOND RTU

Downloads

Downloads

CYCLIND1-GM-L-CE

PA0046

Recently Viewed