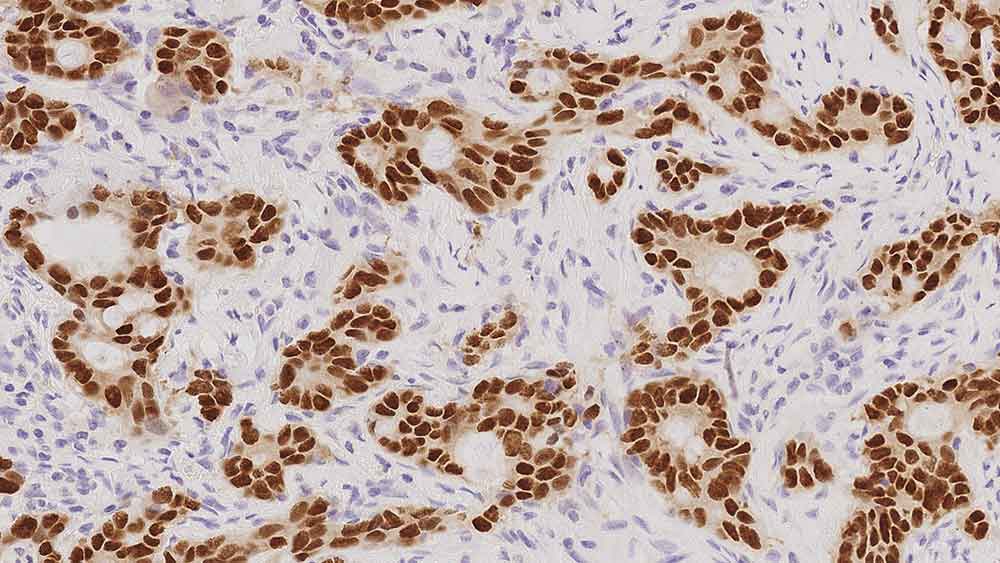
Human colonic adenocarcinoma: immunohistochemical staining for CDX2. Note the nuclear and cytoplasmic staining of malignant cells. CDX2: clone EP25

CDX2

Antigen Background

CDX2は、腸の発生初期に発現する腸特異的転写因子のcaudal 型ホメオボックスであり、腸上皮細胞の増殖および分化の調節に関与している可能性があります。腸はCDX2とCDX1のいずれかの遺伝子産物を検出可能レベルで含む唯一の器官であるため、CDX2はCDX1とともに関心を集めています。この限定された発現パターンはホメオボックス遺伝子ではあまりみられません。CDX2活性化ドメインのリン酸化が、腸上皮におけるCDX2の機能と発現パターンを調節している可能性があります。CDX2は、主に絨毛の表面および陰窩に発現します。CDX1とは対照的に、CDX2は発生過程にある遠位部を除く腸に強く発現することが報告されています。CDX2の欠失は、一部の散発性大腸癌の進行に関わることが報告されています。また、CDX2が胃の発癌に関連している可能性もあり、胃癌細胞の分化が低くなるにつれてCDX2 mRNAの発現が次第に減少することも報告されています。

Disclaimer

CDX2 is recommended for the detection of specific antigens of interest in normal and neoplastic tissues, as an adjunct to conventional histopathology using non-immunologic histochemical stains.

製品

製品

PA0375
PA0375,CDX2,EP25,7mL
在庫を確認する
PA0375-U
7ml CDX2 (EP25) Bond RTU Primary
在庫を確認する

ダウンロード

ダウンロード

PA0375

PA0375-U

Recently Viewed