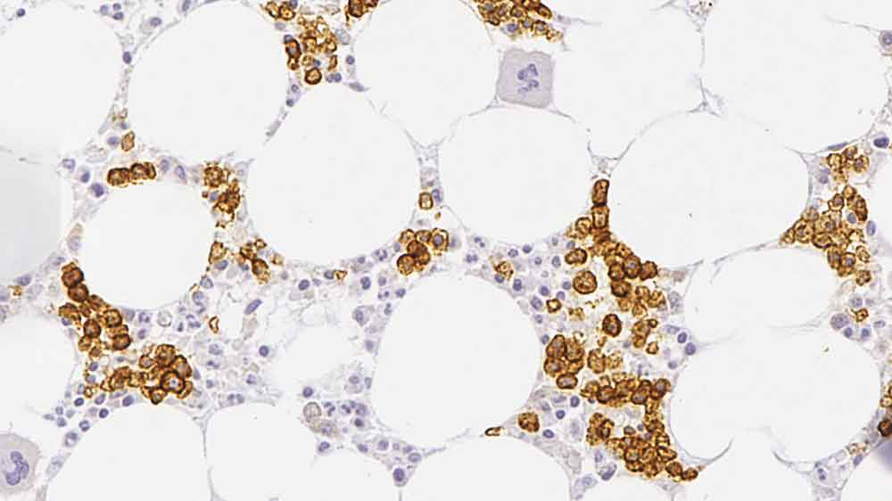
Human bone marrow: immunohistochemical staining for CD71. Note membrane staining of erythroid progenitor cells. CD71: clone 10F11

CD71

Antigen Background

CD71は、分子量およそ180kDのジスルフィド結合ダイマーとして発現するII 型膜糖タンパクで、別名トランスフェリンレセプターとして知られています。CD71は、鉄輸送タンパクであるトランフェリンとの結合および取り込みを通して代謝に必要な鉄の細胞内輸送を調整し、細胞増殖において重要な役割を果たしています。CD71は活性化BおよびT細胞、マクロファージ、増殖細胞、神経細胞のような代謝が活性化された細胞などに発現が認められます。

Disclaimer

CD71 is recommended for the detection of specific antigens of interest in normal and neoplastic tissues, as an adjunct to conventional histopathology using non-immunologic histochemical stains.

製品

製品

CD71-309-L-CE
NCL-L-CD71-309,CD71,10F11,1mL
在庫を確認する
CD71-309-L-U
1ml NCL-L-CD71-309
在庫を確認する

ダウンロード

ダウンロード

CD71-309-L-CE

CD71-309-L-U

Recently Viewed