It appears that your browser has cookies disabled.
The website requires your browser to enable cookies in order to login.
Please enable cookies and reload this page.
Log In
Register for an account
Don't have a login? Register today to view list prices and apply for an account to purchase online!
Antigen Background
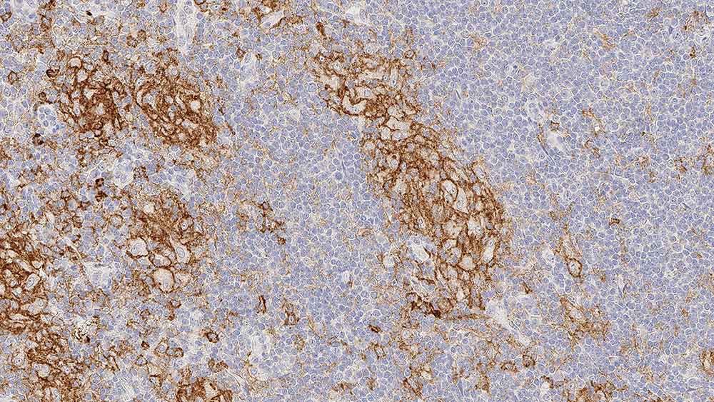
CD33は、骨髄単球性前駆体細胞でCD34の後に発現することが報告されています。骨髄系細胞および単球系細胞に発現しますが、顆粒球には存在しないことが報告されています。CD33の発現は、単球、前骨髄球、骨髄芽球、一部の未分化型急性白血病、急性リンパ芽球性白血病に限定されると報告されています。CD34
Disclaimer
CD33 is recommended for the detection of specific antigens of interest in normal and neoplastic tissues, as an adjunct to conventional histopathology using non-immunologic histochemical stains.
Australia
Canada
New Zealand
Puerto Rico
Trinidad And Tobago
United States
Austria
Estonia
Iceland
Japan
Latvia
Lithuania
Mexico
Oman
Serbia
Sri Lanka
Sudan
Taiwan
Tanzania, United Republic Of
Thailand
Trinidad And Tobago
Algeria
Andorra
Angola
Argentina
Armenia
Australia
Austria
Bahrain
Bangladesh
Belarus
Belgium
Bosnia And Herzegowina
Botswana
Brazil
Bulgaria
Chile
China
Congo, The Democratic Republic Of The
Cote D'Ivoire
Cyprus
Czech Republic
Denmark
El Salvador
Estonia
Finland
France
French Guiana
Georgia
Germany
Ghana
Greece
Guadeloupe
Guyana
Holy See (Vatican City State)
Hong Kong
Hungary
Iceland
India
Iraq
Ireland
Israel
Italy
Japan
Jordan
Kazakhstan
Kenya
Kuwait
Latvia
Lebanon
Libyan Arab Jamahiriya
Liechtenstein
Lithuania
Luxembourg
Malawi
Malaysia
Malta
Martinique
Mauritius
Mayotte
Mexico
Namibia
Netherlands
New Caledonia
New Zealand
Nigeria
Norway
Occupied Palestinian Territory
Oman
Pakistan
Paraguay
Philippines
Poland
Portugal
Puerto Rico
Qatar
Reunion
Romania
Russian Federation
Rwanda
Saudi Arabia
Senegal
Serbia
Singapore
Slovakia (Slovak Republic)
Slovenia
South Africa
Spain
Sudan
Sweden
Switzerland
Taiwan
Tanzania, United Republic Of
Thailand
Togo
Trinidad And Tobago
Tunisia
Turkey
Uganda
Ukraine
United Arab Emirates
United Kingdom
Vietnam
Zambia
Zimbabwe
Algeria
Andorra
Armenia
Austria
Bahrain
Bangladesh
Belarus
Belgium
Bosnia And Herzegowina
Brazil
Brunei Darussalam
Bulgaria
Chile
China
Costa Rica
Cote D'Ivoire
Cyprus
Czech Republic
Denmark
Ecuador
Estonia
Finland
France
French Guiana
Georgia
Germany
Greece
Guadeloupe
Guyana
Holy See (Vatican City State)
Hong Kong
Hungary
Iceland
India
Iraq
Ireland
Israel
Italy
Japan
Jordan
Kazakhstan
Kenya
Kuwait
Latvia
Lebanon
Libyan Arab Jamahiriya
Liechtenstein
Lithuania
Luxembourg
Malawi
Malaysia
Malta
Martinique
Mauritania
Mauritius
Mexico
Moldova, Republic Of
Myanmar
Netherlands
New Caledonia
Nigeria
Norway
Occupied Palestinian Territory
Oman
Pakistan
Panama
Paraguay
Peru
Philippines
Poland
Portugal
Puerto Rico
Qatar
Reunion
Romania
Russian Federation
Saudi Arabia
Senegal
Serbia
Singapore
Slovakia (Slovak Republic)
Slovenia
South Africa
South Korea
Spain
Sudan
Sweden
Switzerland
Taiwan
Tanzania, United Republic Of
Thailand
Togo
Trinidad And Tobago
Tunisia
Turkey
Uganda
Ukraine
United Arab Emirates
United Kingdom
Vietnam
Canada
Puerto Rico
Trinidad And Tobago
United States
Successfully added to cart
added to cart.
No item added to cart
The replacement product is no longer available, no item has been added to cart.
If you have any questions, contact us at 1.844.534.2262

