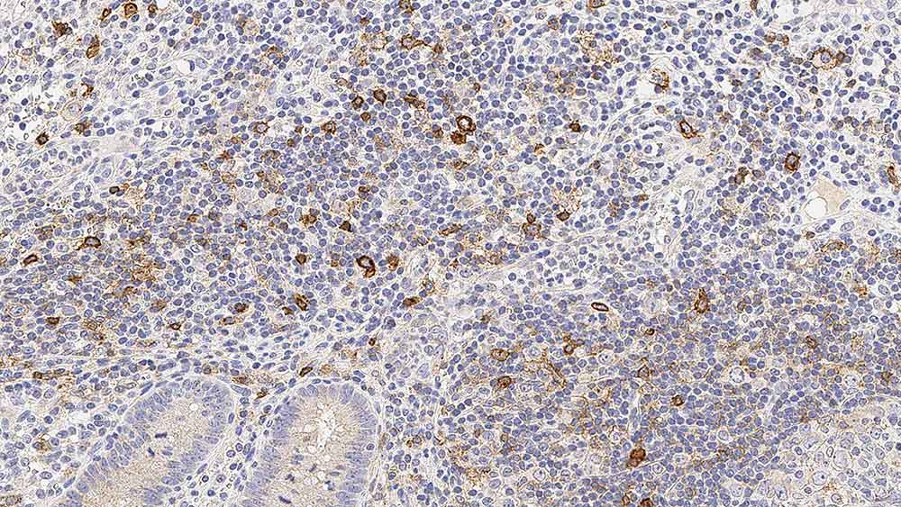
Human appendix: immunohistochemical staining for CD25. Note staining of activated lymphocytes. CD25: clone 4C9

CD25

Antigen Background

Interleukin-2 receptor のaサブユニットであるCD25は、分子量55kDの単鎖糖タンパクです。モノカインであるInterleukin-1の存在下で、抗原またはマイトジェンによってT細胞が活性化されると、Interleukin-2(IL-2)がすばやく合成・分泌されます。これに応答して、T細胞の一部がIL-2 に対する高親和性受容体を発現します。これらの細胞が増殖すると、ヘルパー機能、サプレッサー機能および細胞傷害性機能に関与するT細胞集団が増加します。IL-2 receptorはT細胞のみに認められるわけではなく、HTLVで形質転換したT細胞およびB細胞、EBVで形質転換したB細胞、骨髄前駆細胞、希突起膠細胞に発現することが報告されています。胸腺細胞、休止期のT細胞、非活性化B細胞およびNull細胞には存在しません。IL-2 receptorの発現は、炎症および悪性病変、リンパ系腫瘍、自己免疫疾患、同種移植片拒絶に関連することが報告されています。

Disclaimer

CD25 is recommended for the detection of specific antigens of interest in normal and neoplastic tissues, as an adjunct to conventional histopathology using non-immunologic histochemical stains.

製品

製品

PA0305-U
7ml CD25 Bond RTU Primary
在庫を確認する
PA0305
CD25
在庫を確認する

ダウンロード

ダウンロード

PA0305-U

PA0305

Recently Viewed