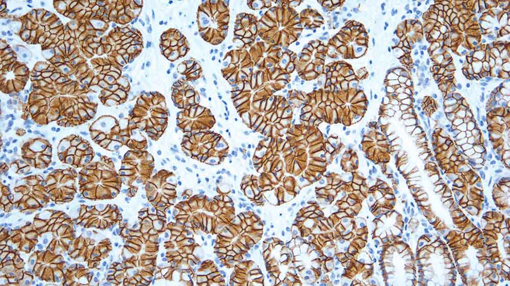
Human stomach: immunohistochemical staining for Carbonic Anhydrase IX. Note intense membrane and cytoplasmic staining of the deep glands. Carbonic Anhydrase IX: clone TH22

Carbonic Anhydrase IX

Antigen Background

Carbonic anhydrase (CA) is an enzyme that assists rapid interconversion of carbon dioxide and water into carbonic acid, protons, and bicarbonate ions. Originally named MN/G250, carbonic anhydrase IX (CAIX) is a cell surface transmembrane protein, which is predominantly found in the gastrointestinal tract and gallbladder. The glandular regions of normal colon are reported to be negative, but in the case of adenocarcinoma, the glands are positive. CAIX is also reported to be expressed in common epithelial tumors such as carcinomas of the esophagus, lung, colon, kidney, cervix and non-small cell lung carcinoma. In breast carcinomas, CAIX expression has been reported to be associated with malignant tissue. Expression of CAIX is reported to be absent in normal kidney, chromophobe carcinomas or oncocytomas; however, it is specifically expressed in clear cell renal carcinomas.

Disclaimer

Carbonic Anhydrase IX is recommended for the detection of specific antigens of interest in normal and neoplastic tissues, as an adjunct to conventional histopathology using non-immunologic histochemical stains.

Products

Products

CAIX-L-CE
1ml NCL-L-CAIX
Country availability
CAIX-L-U
1ml NCL-L-CAIX
Country availability

Downloads

Downloads

CAIX-L-CE

CAIX-L-U

Recently Viewed