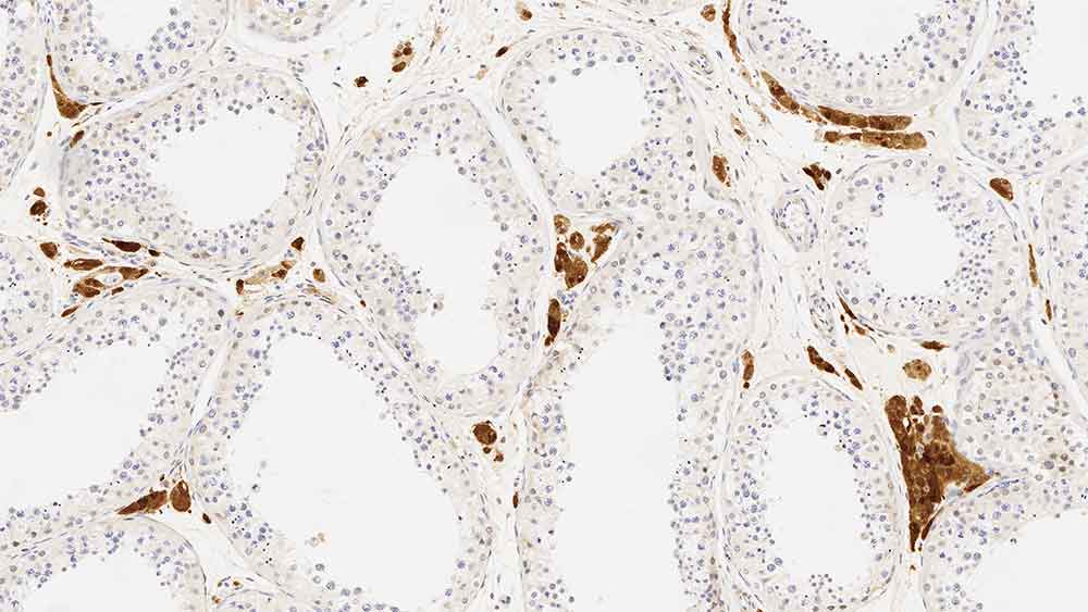
Human testes: immunohistochemical staining for calretinin. Note cytoplasmic staining of Leydig cells. Calretinin: clone CAL6

Calretinin

Antigen Background
Calretinin is a calcium-binding protein of 29 kD that is a member of the family of so-called EF-hand proteins that also includes S-100 proteins. Calretinin is reported to be abundantly expressed in neurons. Outside the nervous system, calretinin is reported to be expressed in a range of cell types including mesothelial cells, steroid producing cells, (for example adrenal cortical cells, Leydig cells, ovarian theca interna cells, Sertoli cells, some neuroendocrine cells, eccrine sweat glands) and other cell types.

Disclaimer
Calretinin is recommended for the detection of specific antigens of interest in normal and neoplastic tissues, as an adjunct to conventional histopathology using non-immunologic histochemical stains.

Products

Products

CALRET566-L-CE
1ml NCL-L-CALRET-566
Country availability
PA0346
7ml Calretinin Bond RTU Primary
Country availability
CALRET566-L-U
1ml NCL-L-CALRET-566
Country availability
PA0346-U
7ml Calretinin Bond RTU Primary
Country availability

Downloads

Downloads

CALRET566-L-CE

PA0346

CALRET566-L-U

PA0346-U

Recently Viewed