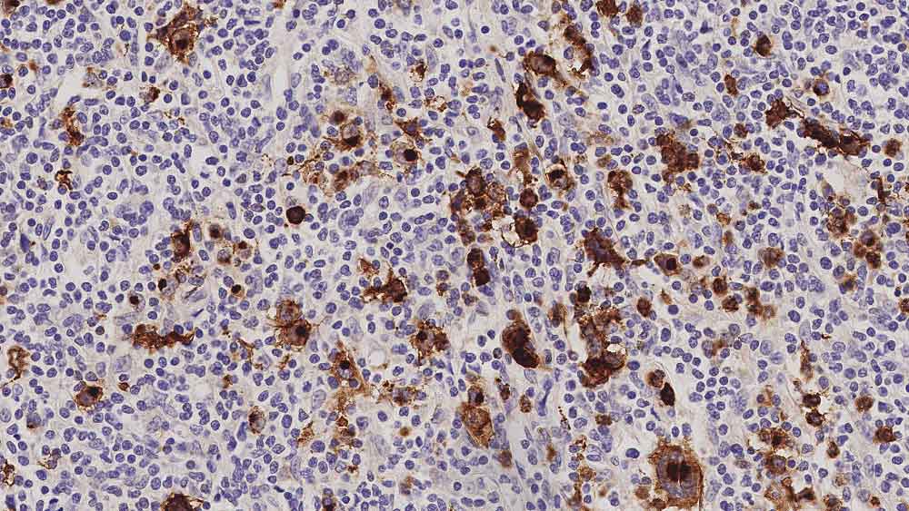
Hodgkin's disease, mixed cellularity: immunohistochemical staining for CD15. Note the mixed cellular membrane staining and characteristic staining of paranuclear hofs of Reed Sternberg cells. CD15: clone MMA

CD15

Description de l'antigène

L'antigène CD15, également connu sous le nom de haptène X, est exprimé dans 90 pour cent des granulocytes circulants humains, dans 30 à 60 pour cent des monocytes circulants et est absent des lymphocytes normaux.

L'antigène CD15 est également exprimé dans les cellules de Reed-Sternberg de la maladie de Hodgkin et dans certaines leucémies. Notez que le pré-traitement enzymatique ou le démasquage de l'antigène par récupération d'épitopes induite par la chaleur (HIER) en utilisant une solution d'EDTA (pH8.0) à 1mM peuvent être utilisés sur des tissus fixés et enrobés de paraffine

La meilleure technique de démasquage de l'antigène devrait être déterminée par l'utilisateur.

Produits

Produits

CD15-605-L-CE
1ml NCL-L-CD15-605
Voir Disponibilité
PA0039
7ml CD15 Bond RTU Primary
Voir Disponibilité
Contactez-nous pour un devis.
PA0473
7ml CD15 (MMA) Bond RTU Primary
Voir Disponibilité
CD15-605-L-U
1ml NCL-L-CD15-605
Voir Disponibilité
PA0473-U
7ml CD15 (MMA) Bond RTU Primary
Voir Disponibilité

Téléchargements

Téléchargements

CD15-605-L-CE

PA0039

PA0473

CD15-605-L-U

PA0473-U

Récemment Consultés