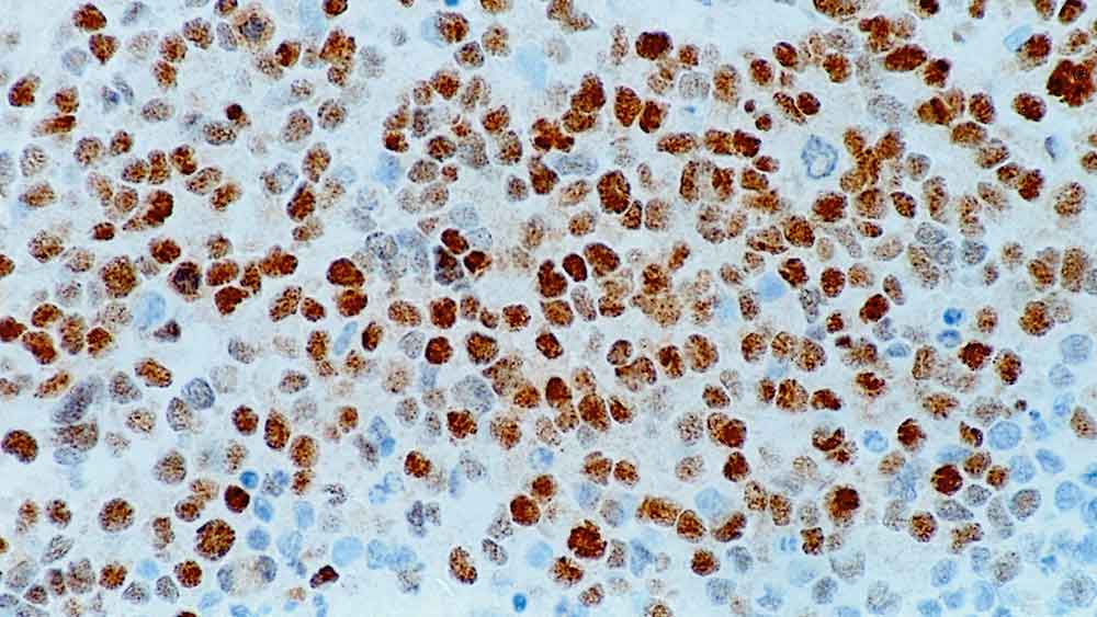
Human rhabdomyosarcoma: immunohistochemical staining for Myf-4 protein. Note staining of a proportion of tumor cell nuclei. Myogenin (Myf-4): clone LO26

Myogenin (Myf-4)

Description de l'antigène

Les rhabdomyosarcomes sont une classe de sarcomes des tissus mous dérivés des myoblastes, qui expriment généralement plusieurs gènes spécifiques du muscle, et qui affectent principalement les enfants et les jeunes adultes.

La différenciation des cellules myogéniques est contrôlée par une série de gènes régulateurs dont MyoD1, myogénine, Myf-5 et Myf-6.

Myf-4 est l'homologue humain de la myogénine. Le produit de ce gène, avec celui de Myf-3, s'accumule dans le noyau des cellules différentiées.

Produits

Produits

MYF-4-L-CE
1ML NCL-L-Myf-4
PA0226
7ml Myf-4 Bond RTU Primary

Téléchargements

Téléchargements

MYF-4-L-CE

PA0226

Récemment Consultés