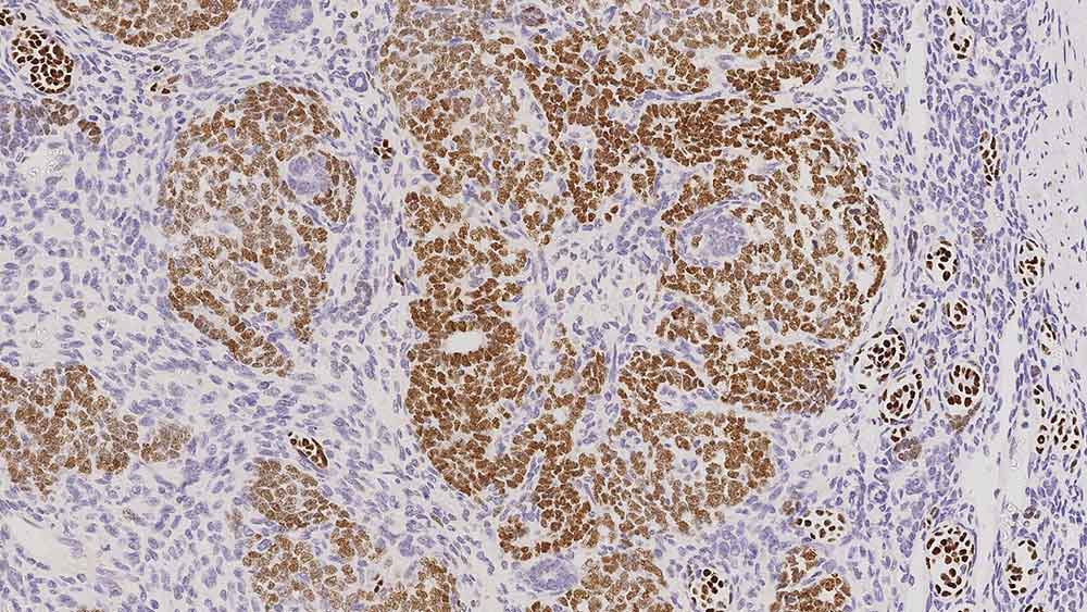
Human kidney: immunohistochemical staining for Wilms' tumor. Note the nuclear staining of invasive tumor cells. Wilms' Tumor: clone WT49

Wilms' Tumor

Description de l'antigène

La protéine de la tumeur de Wilms (WT1) joue un rôle dans la régulation de la transcription et est exprimée dans le rein et dans une sous-population de cellules hématopoïétiques. Les altérations de la fonction des facteurs de transcription est un mécanisme se produisant couramment pendant l'oncogenèse.

La protéine WT1 contient un domaine de liaison à l'ADN, et n'importe quelle délétion ou mutation ponctuelle du gène WT détruisant ce domaine cause le développement du néphroblastome de l'enfance, de la tumeur de Wilms et du syndrome de Denys-Drash.

La fonction de la WT1 dans le néphoblastome n'est pas claire. L'expression de la WT1 n'a jamais (ou extrêmement rarement) été observée par immunohistochimie dans le cancer du sein, et la négativité pour la WT1 est considérée comme un marqueur utile pour la distinction entre les métastases mammaires des carcinomes et les carcinomes ovariens séreux primaires.

Ces observations sont en contradiction avec celles concernant l'ARNm dans ces tumeurs, et ce problème complexe n'est toujours pas résolu.

Les cellules endothéliales sont généralement négatives avec le clone WT49. Ces cellules sont par contres immunoréactives avec le clone 6FH2.

Produits

Produits

WT1-562-L-CE
1ml NCL-L-WT1-562
PA0562
7ml Wilms Tumor Bond RTU Prim

Téléchargements

Téléchargements

WT1-562-L-CE

PA0562

Récemment Consultés