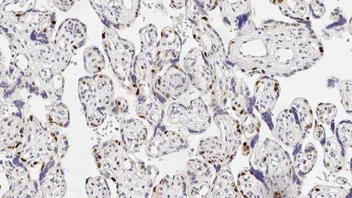
Human placenta: immunohistochemical staining for p57 protein. Note nuclear staining for cytotrophoblast and stromal cells of the villi. p57: clone 25B2

Kip2 (p57 Protein)

Description de l'antigène

Les kinases cycline-dépendantes (CDK) sont des régulateurs positifs de la prolifération cellulaire. La protéine p57 a une activité antagoniste de suppresseur de tumeur. Elle est étroitement apparentée à d'autres CDK telles que la protéine p21 (CIP1) et la protéine p27 (Kip1), avec lesquelles elle partage un domaine structurel N-terminal de liaison aux complexes CDK/cycline et d'inhibition de l'activité kinase.

Le gène codant pour la protéine p57 humaine se trouve dans la région chromosomique 11p15.5, une région qui présente fréquemment une perte d'hétérozygosité dans certains sarcomes, dans les tumeurs de Wilms et dans les tumeurs associées au syndrome de Beckwith-Wiedemann.

p57 est d'un intérêt croissant en tant que marqueur de maladies gestationnelles. Les maladies trophoblastiques gestationnelles comprennent un éventail de désordres de la prolifération du trophoblaste placentaire, présentant une large gamme d'apparences histologiques et de comportements cliniques.

Produits

Produits

P57-L-CE
1ml NCL-L-p57

Téléchargements

Téléchargements

P57-L-CE

Récemment Consultés