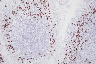
Human low grade mucosa associated lymphoma of thyroid:in situ hybridization for lambda mRNA using the lambda probe.Paraffin section.

BOND Lambda Probe

Lambda Probe is used in conjunction with Kappa Probe for the detection of antibody producing B cells in formalin-fixed, paraffin-embedded tissue.

B cell neoplasms are thought to arise from a single transformed cell (monoclonal), whereas reactive states result in proliferation of a number of B cells (polyclonal).

Since immunoglobulins from the same B cell contain either Kappa or Lambda light chains, light chain restriction or monoclonality can be used to make the distinction between reactive and neoplastic B cell proliferations.

Produkte

Produkte

PB0669
5.5 ml Bond Lambda Probe
Verfügbarkeit überprüfen

Downloads

Downloads

PB0669

Zuletzt angesehen