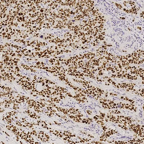
Human cervix: in situ hybridization using DNA Positive Control, Anti-Biotin Antibody and BOND Polymer Refine Detection.

BOND DNA Positive Control Probe

Positive control probes should be run on patient tissue to validate reagent performance, to provide information on the preservation of nucleic acids in the tissue and to confirm accessibility of nucleic acids to the probe.

The DNA Positive Control Probe is intended for use as a positive control in formalin-fixed, paraffin-embedded tissue by DNA in situ hybridization (ISH) using the automated BOND system.

It is designed to specifically hybridize to the genomic ALU repeat sequences, which represent approximately 10% of the human genome. The DNA Positive Control Probe is biotin-labeled.

For in vitro diagnostic use.

Produkte

Produkte

PB0682
6.25mL DNA Positive Cont Probe
Verfügbarkeit überprüfen

Downloads

Downloads

PB0682

Zuletzt angesehen