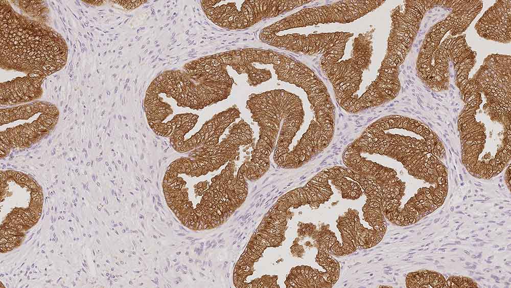
Human prostatic hyperplasia: immunohistochemical staining of Prostate Specific Antigen. Note the cytoplasmic and membrane staining of hyperplastic glandular epithelial cells. Prostate Specific Antigen: clone 35H9 

Prostate Specific Antigen

Hintergrund des Antigens

Das Prostataspezifische Antigen (PSA) ist ein Protein von 34 kD, das zur Kallikreinfamilie der Serinproteasen gehört und ursprünglich aus humanem Seminalplasma isoliert und gereinigt wurde. Es wurde festgestellt, dass es mit einem aus der Prostatadrüse isolierten Protein immunologisch identisch ist und diesem biologisch ähnelt. PSA unterscheidet sich von der Prostata-spezifischen sauren Phosphatase.

Eine niedrige PSA-Expression wurde in Nicht-Prostatageweben und Tumoren wie Mammakarzinome beobachtet.

Produkte

Produkte

PSA-431-L-CE
1ml NCL-L-PSA-431
Verfügbarkeit überprüfen
PA0431
7ml PSA Bond RTU Primary
Verfügbarkeit überprüfen
PSA-431-L-U
1ml NCL-L-PSA-431
Verfügbarkeit überprüfen
PA0431-U
7ml PSA Bond RTU Primary
Verfügbarkeit überprüfen

Downloads

Downloads

PSA-431-L-CE

PA0431

PSA-431-L-U

PA0431-U

Zuletzt angesehen