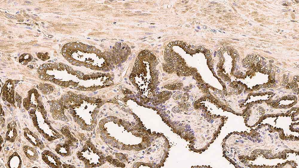
Prostate carcinoma: immunohistochemical staining of Galectin-3. Note the staining in the neoplastic cells and some staining in the stroma. Galectin-3: clone 9C4

Galectin-3

Hintergrund des Antigens

Galectin-3 gehört zur Familie der beta-Galactosidase-bindenden Lektine. Es ist an verschiedenen biologischen Vorgängen beteiligt, darunter der Bindung an das Basalmembran-Glykoprotein Laminin.

Galectin-3 an der Zelloberfläche könnte an der homotypischen Zelladhäsion beteiligt sein; bei Kolonkarzinomen wird es im Zuge der Krankheitsprogression herunterreguliert. Diese Herunterregulation wurde auch bei Mammakarzinomen beobachtet, wobei eine vergleichbare Korrelation der Expression beschrieben wird.

Die Herunterregulation von Galectin-3 könnte einer der zahlreichen Vorgänge sein, durch die Krebszellen in die Lage versetzt werden, mit Laminin zu interagieren, um die Zellinvasion und Metastasierung zu erleichtern. Es könnte sich um einen Hinweis auf eine Aktivierung des invasiven Phänotyps bei diversen Tumortypen handeln.

Galectin-3 wurde bei anaplastischen großzelligen Lymphomen, nicht jedoch in den Reed-Sternberg-Zellen oder bei Varianten von Morbus Hodgkin nachgewiesen.

Produkte

Produkte

PA0238-U
7ml Galectin-3 Bond RTU Primary
Verfügbarkeit überprüfen
PA0238
7 ml Galectin-3 Bond Gebrauchsf. Primära
Verfügbarkeit überprüfen

Downloads

Downloads

PA0238-U

PA0238

Zuletzt angesehen