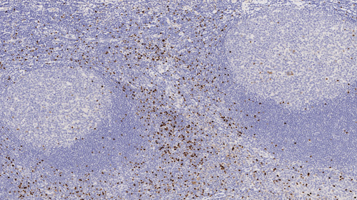
Human Tonsil: Immunohistochemistry staining of FOXP3. FOXP3: clone 236A/E7

FOXP3

Hintergründe des Antigens
FOXP3 (Forkhead Box Protein 3, Scurfin) ist ein Teil der Forkhead-Box(FOX)-Familie der Transkriptionsfaktoren. Diese Proteine sind durch eine hoch konservierte Forkhead-DNA-Bindedomäne charakterisiert. FOXP3 spielt eine wichtige Rolle bei der Immunregulation, mit seiner Auswirkung auf die Reduktion der Interleukin-2-Expression, was zu einer verringerten Funktion der T-Helferzellen führt. Die Rolle von FOXP3 bei Krebs ist vielseitig; es spielt sowohl bei der Tumorprogression (über die Suppression der T-Zellaktivität) als auch bei der Onkogensuppression eine Rolle.

Haftungsausschluss
FOXP3 wird für den Nachweis bestimmter Antigene in normalem und neoplastischem Gewebe als zusätzliches Hilfsmittel zur herkömmlichen Histopathologie unter Verwendung nicht-immunologischer histochemischer Färbemittel empfohlen.

Produkte

Produkte

PA0263
7mL FOXP3 (236A/E7) BOND RTU Primary
Verfügbarkeit überprüfen

Downloads

Downloads

PA0263

Zuletzt angesehen